Аннотация
Цель данного исследования — проанализировать диаметр и локализацию терминальной части канала (CS), чтобы предотвратить его повреждение при установке имплантатов в переднем отделе верхней челюсти.
Были изучены 150 КЛКТ-снимков (cone beam computed tomography) 61 мужчины и 89 женщин в возрасте от 24 до 80 лет с полем обзора 8 × 8. Анализ проводился в программном обеспечении Ez3D2009 (Vatech) в панорамных и кросс-срезовых проекциях при толщине среза 0,5 мм, 1 мм, 3 мм и 10 мм. Визуализация CS оценивалась по четырёхбалльной шкале, а локализация классифицировалась в соответствии с методикой Oliveira-Santos.
При оценке КЛКТ-срезов толщиной 0,5 мм альвеолярная часть CS выявлялась у 101 из 150 пациентов (67% всех обследованных). Из них у 22 пациентов (21,7%) канал определялся справа, у 32 (31,6%) — слева, а у 47 (46,7%) — с обеих сторон.
Наиболее часто CS локализовался в области латерального резца (33,5%, n=50).
При анализе КЛКТ-срезов толщиной 0,5 и 1 мм с обеих сторон CS визуализировался в 49% случаев, при толщине 3 мм — в 40%, а при 10 мм — в 18%. Средний диаметр и длина терминальной части CS составляли 0,95 ± 0,24 мм и 11,78 ± 3,32 мм соответственно.
По расположению CS определялся небно в 76% случаев (n=113), центрально — в 12% (n=18) и щёчно — в 12% (n=18).
Результаты подчёркивают важность планирования дентальной имплантации с использованием КЛКТ и обязательного применения хирургических шаблонов.
Введение
Передний отдел верхней челюсти считается сложной клинической зоной из-за высоких эстетических и функциональных требований. Одним из ключевых этапов оценки беззубого альвеолярного гребня перед установкой дентальных имплантатов является анализ соседних анатомических структур¹. В переднем отделе верхней челюсти к таким структурам относится canalis sinuosus (CS)²,³,⁴.
Canalis sinuosus (CS) — это внутрикостная структура, по которой проходит передний верхний альвеолярный нервно-сосудистый пучок¹. Он начинается в подглазничном канале позади одноимённого отверстия и направляется в передне-латеральную сторону. Достигнув передней стенки верхней челюсти, канал поворачивает медиально и проходит вдоль латеральной стенки полости носа⁵. Ряд авторов по-разному обозначают терминальную часть CS, расположенную в альвеолярном отростке верхней челюсти: как «продолжение CS»¹,⁶,⁷, как «добавочный канал CS»⁵,⁸ или как «латеральный резцовый канал»⁹ (Рис. 1).
Важно отметить, что терминальная часть CS или его добавочные каналы могут располагаться в трёх направлениях: небно, центрально и щёчно¹,⁵,⁸,¹⁰.
Повреждение этого канала при установке имплантата может приводить к ряду осложнений, таких как кровотечение и чувствительные расстройства¹,⁸.
Например, Arruda и соавт. описали клинический случай: у 51-летней женщины в течение 22 месяцев после установки имплантата в области латерального резца верхней челюсти сохранялась парестезия. Анализ КЛКТ (CBCT) показал, что имплантат был установлен в полость CS, что привело к боли и расстройствам чувствительности в области верхней губы справа¹¹. Имеются и другие клинические сообщения о возникновении болевого синдрома после дентальной имплантации при повреждении CS⁸.
Цель настоящего исследования — проанализировать диаметр и локализацию терминальной части CS, чтобы предотвратить её повреждение при установке имплантатов в переднем отделе верхней челюсти.

Рисунок 1. Панорамный вид КЛКТ, КС визуализируется в боковой стенке полости носа, проходя через альвеолярный гребень верхней челюсти.
Материалы и методы
Были проанализированы 150 КЛКТ (CBCT) снимков 61 мужчины и 89 женщин в возрасте от 24 до 80 лет с использованием поля обзора 8 × 8. Анализ выполнялся в программном обеспечении Ez3D2009 (Vatech) на панорамных и поперечных срезах толщиной 0,5 мм, 1 мм, 3 мм и 10 мм.
CS (canalis sinuosus) идентифицировался в соответствии с его анатомическим описанием, представленным в литературе⁸. Локализация канала распределялась в соответствии с классификацией Oliveira-Santos и соавт. (Рис. 2).

Рисунок 2. Схематическая локализация CS по Oliveira-Santos и соавт.:1 — область центрального резца,2 — область между центральным и латеральным резцами, 3 — область латерального резца, 4 — область клыка, 5 — область первого премоляра, 6 — латеральнее резцового отверстия, 7 — позади резцового отверстия.
Статистический анализ
Статистическая обработка данных проводилась с использованием критерия Манна — Уитни (Mann-Whitney U-test). Значения p < 0,01 считались статистически значимыми.
Результаты
При анализе КЛКТ-снимков с толщиной среза 0,5 мм альвеолярная часть canalis sinuosus (CS) была выявлена у 101 из 150 пациентов (67% от общего числа).
Из этих 101 пациента: у 22 (21,7%) CS визуализировался только с правой стороны, у 32 (31,6%) — только с левой стороны, у 47 (46,7%) — с обеих сторон.
В целом было идентифицировано 148 CS с обеих сторон при толщине среза 0,5 мм (49,6% от 300 сторон, оценённых у 150 пациентов).
При этом: 46,3% каналов были визуализированы справа, 53,7% — слева. Общая частота визуализации CS на КЛКТ при различной толщине среза представлена на Рисунке 3.

Рисунок 3. Визуализация CS в правой и/или левой части верхней челюсти в зависимости от толщины среза.
Согласно классификации Oliveira-Santos и соавт. (12), CS чаще всего локализовался в области: латерального резца — 33,5% (n=50), центрального резца — 24,2% (n=36), клыка — 21,5% (n=32), между центральным и латеральным резцами — 10,7% (n=16), первого премоляра — 9,4% (n=14), латеральнее резцового отверстия — 0,7% (n=1).
Анализ диаметра и длины альвеолярной части CS представлен в Таблицах 1 и 2.

Таблица 1. Средние, максимальные и минимальные значения диаметра КС, находящегося в альвеолярном отростке верхней челюсти.

Таблица 2. Средние, максимальные и минимальные значения длины КС, находящегося в альвеолярном отростке верхней челюсти.
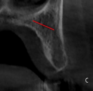
Затем мы оценили 149 визуализированных КС по их расположению в альвеолярном отростке. Установлено, что 76% КС имели нёбную локализацию, а у 12% – как центральную, так и вестибулярную (рис. 4, а, б, в). Эти данные представлены в таблице 3.

Таблица 3. Расположение CS в альвеолярном отростке.



Рисунок 4. Визуализация КС в зависимости от локализации: а – небная локализация; б – центральная и в – щечная локализация.
Обсуждение
Впервые canalis sinuosus (CS) был описан Вуд-Джонсом (Wood-Jones) в 1939 году. Фон Аркс и соавт. установили, что более половины добавочных каналов в верхней челюсти связаны именно с этой структурой [9]. Ряд исследований и клинических наблюдений показал, что оптимальным методом визуализации CS является конусно-лучевая компьютерная томография (КЛКТ) [6,7,8,9,11,12].
Наш анализ 150 КЛКТ продемонстрировал, что CS чаще располагался в областях центрального резца, латерального резца и клыка, и не имел анастомоза с резцовым (носонёбным) каналом.
Следует отметить важность выбора диагностической толщины среза. CS визуализировался одинаково хорошо при толщине среза 0,5 мм и 1 мм, и этого было достаточно для определения его размеров. Качественные и количественные показатели визуализации канала снижались при толщине среза 3 мм и 10 мм.
В среднем значения диаметра и длины CS были выше у мужчин, чем у женщин. Чем больше диаметр, тем лучше его видимость на КЛКТ и тем меньше «зона безопасности» для хирургического вмешательства. Следовательно, эти особенности необходимо учитывать, чтобы предотвратить повреждение CS.
Ещё один нюанс при планировании дентальных имплантатов — определение расположения канала в вестибуло-нёбном направлении, поскольку имплантат, как правило, устанавливается в доступном объёме альвеолярного отростка. Это может привести к позиционированию имплантата в пределах CS с возможными осложнениями.
Выводы
Осведомлённость о данной анатомической структуре играет ключевую роль при планировании дентальной имплантации. Повреждение CS может вызвать у пациента дискомфорт в виде различных симптомов и, как следствие, привести к потере времени на посещение разных специалистов в поисках причины.
Важным является планирование установки имплантатов с использованием КЛКТ и отказ от пренебрежения хирургическими шаблонами.
В настоящее время мы проводим анализ CS с учётом возраста и морфологических особенностей в различных его локализациях.
Заявление о конфликте интересов
Авторы заявляют об отсутствии конфликта интересов; статья не финансировалась и не поддерживалась какими-либо исследовательскими грантами.
Список литературы
1. Len Tolstunov. Horizontal Alveolar Ridge Augmentation in Implant Dentistry: A Surgical Manual. Wiley-Blackwell. February 2016 – 320
2. Williams P. L., Warwick R., Dyson M., et al. Gray’s Anatomy. 37th. Livingstone: Edinburgh:Churchill; 1989.
3. Mraiwa N., Jacobs R., Van Cleynenbreugel J., et al. The nasopalatine canal revisited using 2D and 3D CT imaging. Dentomaxillofacial Radiology. 2004;33(6):396–402.
4. White S. C., Pharoah M. J. Oral radiology: Principles and Interpretation. 4th. St Louis: Mosby; 2000.
5. von Arx T1, Lozanoff S. Anterior superior alveolar nerve (ASAN). Swiss Dent J. 2015;125(11):1202-9.
6. Manhães Júnior L. R., Villaça-Carvalho M. F., Moraes M. E., et al. L. Location and classification of Canalis sinuosus for cone beam computed tomography: avoiding misdiagnosis. Brazilian Oral Research. 2016;30(1):1–8.
7. Gokhan Gurler, Cagri Delilbasi, Emine Esen Ogut,Kader Aydin, et al. Evaluation of the morphology of the canalis sinuosus using cone-beam computed tomography in patients with maxillary impacted canines Imaging Sci Dent. 2017 Jun;47(2):69-74.
8. Machado V. D. C., Chrcanovic B. R., Felippe M. B., et al. Assessment of accessory canals of the canalis sinuosus: a study of 1000 cone beam computed tomography examinations. International Journal of Oral and Maxillofacial Surgery. 2016;45(12):1586–1591.
9. Von Arx T., Lozanoff S., Sendi P., et al. Assessment of bone channels other than the nasopalatine canal in the anterior maxilla using limited cone beam computed tomography. Surgical and Radiologic Anatomy. 2013;35(9):783–790.
10. Neves F. S., Crusoé-Souza M., Franco L. C. S., et al. Canalis sinuosus: A rare anatomical variation. Surgical and Radiologic Anatomy. 2012;34(6):563–566.
11. José Alcides Arruda, Pedro Silva, Luciano Silva,Pâmella et al. Dental Implant in the Canalis Sinuosus: A Case Report and Review of the Literature Case Rep Dent. 2017; 2017: 4810123.
12. Oliveira-Santos C, Rubira-Bullen IRF, Monteiro SAC, et al Neurovascular anatomical variations in the anterior palate observed on CBCT images. Clin Oral Implants Res. 2013;24(9):1044-8.