Пациента беспокоили постоянный дискомфорт при жевании и неэстетичный вид зубов. Из-за перекрестного прикуса нагрузка приходилась неравномерно, что вызывало ускоренное истирание резцов и угрожало здоровью эмали. Дополнительно смещение нижней челюсти провоцировало нарушение симметрии лица.
Что выявил врач
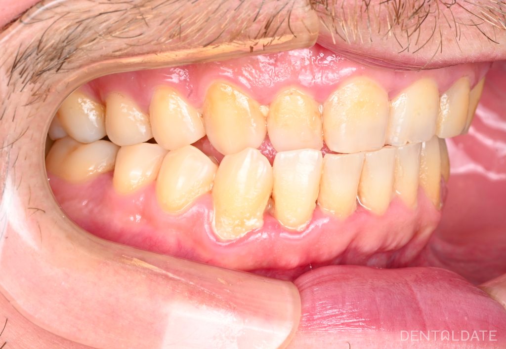
При осмотре были зафиксированы:
- перекрестный прикус справа,
- наклон зубов нижней челюсти вправо,
- неправильное смыкание зубных рядов,
- выраженное истирание режущих краёв передних зубов,
- кант окклюзионной плоскости.
Подобная комбинация нарушений могла привести к ухудшению эстетики и развитию дисфункции височно-нижнечелюстного сустава.
Как проводилось лечение
Для исправления перекрестного прикуса и нормализации работы челюсти были проведены следующие шаги:
- выполнена коррекция положения нижней челюсти;
- устранён наклон зубов на нижней челюсти;
- проведено равномерное распределение промежутков между верхними зубами для правильного перекрытия;
- временно восстановлены стертые режущие края резцов, чтобы вернуть зубам правильную форму и защитить их от дальнейшего повреждения;
- обеспечено корректное смыкание справа и слева, что позволило равномерно распределить жевательную нагрузку.
Результат
После лечения удалось достичь правильного положения нижней челюсти, нормализовать окклюзию и улучшить эстетику улыбки. Перекрестный прикус устранён, нагрузка теперь распределяется равномерно, что снижает риск дальнейшего истирания зубов и обеспечивает комфорт при жевании.
Почему это важно
Перекрестный прикус — не только эстетическая проблема. При его игнорировании зубы стираются быстрее, усиливается нагрузка на челюстные суставы, может развиться хроническая боль или щелчки при жевании. Кроме того, со временем возрастает риск потери зубов из-за перегрузки. Своевременное обращение к врачу позволяет избежать осложнений и сохранить здоровье всей зубочелюстной системы.
Все подобные случаи в нашей клинике ведут специалисты с углублённой подготовкой в области ортодонтии и гнатологии. Врачи DentalDate работают не только над выравниванием зубов, но и над восстановлением правильной функции челюстей и суставов.






