Женщина пришла на приём без выраженных болевых ощущений, так как проходит регулярную санацию полости рта. Её цель — профилактика осложнений и своевременное лечение кариеса, чтобы избежать неприятных симптомов и более серьёзных вмешательств в будущем.
Осмотр и диагностика
При детальном обследовании с использованием увеличения обнаружено:
- кариес на окклюзионной и мезиальной поверхностях зуба 1.5;
- небольшой кариозный процесс на дистальной поверхности зуба 1.4;
- кариес на жевательной (окклюзионной) поверхности зуба 1.4.
Такие поражения часто протекают скрыто, без ярких жалоб, и выявляются только при профилактическом осмотре.
План лечения
- Провести щадящее удаление поражённых тканей с сохранением здоровых участков эмали и дентина.
- Выполнить анатомическое восстановление зубов с помощью композитных материалов.
- Восстановить контактные поверхности для правильного смыкания и предотвращения застревания пищи.
Этапы лечения
- Проведена деликатная обработка кариозных полостей под микроскопом — это позволило максимально сохранить здоровые ткани.
- Полости подготовлены и изолированы для качественной адгезии материала.
- Проведена послойная композитная реставрация с восстановлением жевательных бугров и контактных поверхностей.
- Проведена шлифовка и полировка для долговечности и естественного вида.
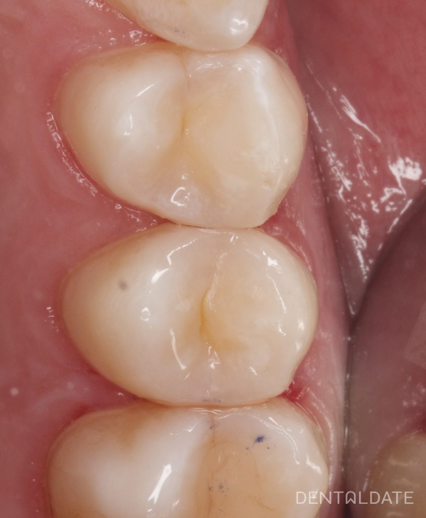
Результат
- Полностью устранены очаги кариеса на зубах 1.4 и 1.5.
- Восстановлена анатомия жевательных поверхностей и контактных пунктов.
- Исключено застревание пищи между зубами.
- Зубы обрели естественный вид и полноценную функцию при жевании.
Почему это важно
Многие пациенты думают, что если зуб не болит, значит, проблем нет. Но кариес на контактных поверхностях долгое время остаётся незаметным и часто проявляется уже на стадии осложнений. Своевременное вмешательство позволяет сохранить зубы живыми, избежать боли и более сложного лечения (например, депульпирования или установки коронки).
Регулярные плановые осмотры позволяют вовремя выявить скрытые кариозные процессы и провести минимально инвазивное лечение. Такой подход помогает сохранить зубы здоровыми и функциональными на долгие годы. В DentalDate мы уделяем внимание не только лечению, но и профилактике!




