Аннотация
Одним из методов лечения пациентов с выраженной атрофией костной ткани является установка коротких имплантатов. Важно правильно позиционировать такие имплантаты с учётом будущей протетической нагрузки и расположения относительно жизненно важных анатомических структур. В представленном клиническом случае 71-летней пациентке была проведена реабилитация с установкой четырёх коротких дентальных имплантатов в переднем отделе нижней челюсти с использованием полностью навигационной хирургии, чтобы избежать повреждения резцового канала нижней челюсти. Такой подход позволяет заранее на этапе планирования определить протокол остеотомии и спрогнозировать восстановление с учётом индивидуальных требований пациента. Данный случай демонстрирует эффективность использования коротких имплантатов для реабилитации пациента в сложной клинической ситуации.
Введение
Дентальные имплантаты рекомендуются как высокоэффективный метод реабилитации для пациентов с полной или частичной адентией. Показатели выживаемости коротких имплантатов достаточно высоки: в среднем 91–97% у пациентов с генерализованным агрессивным пародонтитом и до 100% у пациентов без пародонтальных заболеваний. Ещё недавно существовали ограничения по применению коротких имплантатов, связанные с их стабильностью и прогнозом. Однако в настоящее время имеются научные данные, подтверждающие эффективность коротких имплантатов при лечении пациентов с тяжёлой атрофией альвеолярного гребня. Благодаря особенностям конструкции таких имплантатов часто удаётся избежать дополнительных хирургических вмешательств по наращиванию объёма костной ткани.
Следует отметить, что ранее возраст являлся ограничением для имплантации, однако благодаря совершенствованию технологий он больше не считается противопоказанием. При выраженной атрофии костной ткани врачи нередко прибегают к различным методам аугментации, но в ряде клинических ситуаций необходимо работать только с доступным объёмом кости. Это требует тщательного клинического и рентгенологического обследования для возможности установки имплантатов и последующего восстановления функции протеза, особенно в случае использования коротких имплантатов.
Развитие цифровых технологий в стоматологии сделало возможным строгое соблюдение протоколов лечения и улучшение качества результатов даже в сложных клинических случаях. Такой подход также позволяет снизить количество возможных осложнений и достичь благоприятного клинического исхода.
Целью данного клинического отчёта является демонстрация реабилитации пациента с помощью четырёх коротких имплантатов, установленных сразу после удаления всех зубов и с ранним протезированием.
Клинический случай
71-летняя пациентка обратилась в стоматологическую клинику с жалобами на плохую фиксацию съёмного протеза на нижней челюсти. Ранее протез корректировали и адаптировали, но это не дало нужного результата. На верхней челюсти также имелся полный съёмный протез, который пациентку устраивал.
Пациентка отмечала появление боли в проекции ментальных отверстий при смыкании челюстей с установленными протезами.
При клиническом осмотре было выявлено отсутствие чёткой границы между преддверием рта и полостью рта. Также была зафиксирована выраженная атрофия альвеолярного гребня нижней челюсти.

Осмотр полости рта. Выраженная атрофия альвеолярного отростка нижней челюсти.
КЛКТ-исследование выявило близкое расположение нижнечелюстного канала, при этом выход нижнего альвеолярного нерва через ментальные отверстия находился непосредственно под слизистой оболочкой, что подтверждалось жалобами пациентки. Ей были предложены варианты лечения с использованием дентальных имплантатов и костной аугментации. Пациентка отказалась от костной пластики и выбрала установку коротких имплантатов в переднем отделе нижней челюсти.
Был составлен индивидуальный и строго структурированный план лечения, включающий следующие этапы:
- Снятие слепков и изготовление диагностических моделей
- Изготовление радиопрозрачного шаблона для КЛКТ
- Проведение КЛКТ с использованием индивидуального радиопрозрачного шаблона
- Сканирование диагностических моделей и шаблона
- Совмещение данных сканирования и томографии для комплексного планирования
- Создание хирургического шаблона
- Проведение установки имплантатов по полностью навигационному протоколу
- Изготовление протеза

Панорамное изображение КЛКТ. Просвечивается нижнечелюстной канал. Отмечено отверстие сосудисто-нервного пучка под мягкими тканями.
После того как пациентка дала согласие на предложенный вариант лечения, были выполнены три первых этапа. Слепки были отлиты, а радиопрозрачный шаблон изготовлен из полимера и базисного воска для фиксации высоты окклюзии. На завершающем этапе стало виден слой радиопрозрачного основания шаблона.
Затем были выполнены сканирования моделей верхней и нижней челюсти — как по отдельности, так и вместе с шаблоном — для создания окклюзионного файла, необходимого для последующего виртуального воскового моделирования. Также отдельно были отсканированы сам шаблон и шаблон вместе с моделью нижней челюсти. Последние два скана были предназначены для сопоставления с КЛКТ. В результате было получено пять сканов.
С помощью программного обеспечения R2Gate (Megagen, Южная Корея) была выполнена **стыковка данных КЛКТ в формате .dcm и 3D-сканов в формате .stl. Сопоставление скана нижней челюсти с её КЛКТ-изображением осуществлялось с использованием радиопрозрачного шаблона, визуализированного и на КЛКТ, и на 3D-сканах.
Далее была проведена оценка доступного объёма кости в переднем отделе нижней челюсти. В месте предполагаемой имплантации была отмечена локализация резцового канала, и пациентка была информирована об этом, включая возможные послеоперационные осложнения.
Четыре имплантата были виртуально размещены, из которых два установлены под углом 29 градусов из-за недостаточного объёма доступной костной ткани.

КЛКТ. Корональная проекция нижней челюсти. Четыре имплантата установлены в области зубов 3.2, 3.4, 4.1 и 4.3. Дистальные имплантаты наклонены на 29 градусов.
Окончательное сопоставление положения имплантатов с виртуальным восковым моделированием позволило создать сборный (шинированный) протез, поскольку сканабатменты были установлены относительно параллельно друг к другу.
Затем был разработан и распечатан хирургический шаблон с толщиной слоя 50 микрон. Отдельно был составлен протокол рекомендованного сверления, направленный на достижение благоприятной первичной стабилизации имплантатов. Протокол основывался на размере платформы, апекса и типе плотности кости по классификации Lekholm и Zarb. Дополнительно был изготовлен силиконовый индекс для фиксации шаблона с противоположной челюстью во время установки штифтов для стабилизации.
Перед хирургическим вмешательством пациентке был назначен антибиотик — линкомицин 500 мг.
Хирургический протокол
Общее состояние пациентки — удовлетворительное, жалоб не предъявляет. Проведена антисептическая обработка полости рта раствором 0,05% хлоргексидина биглюконата, после чего выполнена местная анестезия.
Хирургический шаблон был установлен на нижнюю челюсть, после чего был помещён силиконовый индекс. Пациентка сжала челюсти, чтобы зафиксировать положение шаблона. Затем были установлены фиксационные штифты, и силиконовый индекс был удалён.

Фиксированный хирургический шаблон.
Первое сверление было выполнено через хирургический шаблон с помощью специального трансгингивального сверла типа мукотома для удаления мягких тканей. Поскольку хирургические шаблоны ограничивают охлаждение в процессе сверления, последовательное сверление проводилось на скорости 350 об/мин согласно ранее разработанному протоколу.
Сверла имели цилиндрическую часть в апикальной зоне, диаметр которой соответствовал направляющим стенкам шаблона. Благодаря последовательному использованию сверл — от коротких к необходимой глубине — была исключена возможность свободного движения инструмента внутри шаблона.
Через шаблон были установлены четыре имплантата (AnyOne, Megagen, Южная Корея):
Область 4.1 — 4 × 7 мм
Область 3.2 — 4 × 7 мм
Область 4.3 — 4 × 7 мм с наклоном 29°
Область 3.4 — 3.5 × 7 мм с наклоном 29°
Установка имплантатов проводилась через шаблон с помощью специального имплантовода, обеспечивающего точную установку по высоте.
Итоговый крутящий момент при установке составил 40 Н·см.
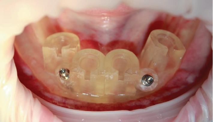
Однако, с учётом того, что ряд имплантатов был установлен в области резцового канала нижней челюсти, было принято решение ограничиться установкой формирователей десны. Закрытие операционного поля не потребовалось благодаря использованию мукотома.

Формирование десневых абатментов на месте.
Была проведена антисептическая обработка раствором 0,05% хлоргексидина биглюконата. Выполнен радиологический контроль положения имплантатов.
Пациентке были даны назначения, включая антибиотикопрофилактику — линкомицин 500 мг, по 1 капсуле 2 раза в день в течение 5 дней. Также были назначены антигистаминные средства и нестероидные противовоспалительные препараты.
Имеющийся протез был перебазирован в соответствии с положением установленных формирователей десны.

КЛКТ-сканирование с имплантатами на месте.
На последующих приёмах общее состояние пациентки оставалось удовлетворительным, послеоперационная зона заживала без признаков воспаления.
С пациенткой было согласовано изготовление нового съёмного протеза на верхнюю челюсть. В связи с выраженными финансовыми ограничениями она отказалась от стандартного протезирования на мультиюнит-абатментах.
Поскольку имплантаты были установлены с помощью хирургического шаблона, и при планировании их располагали максимально параллельно, были заранее изготовлены трансферные проверки на титановую базу без шестигранника. Несмотря на наличие угловой установки некоторых имплантатов, после примерки трансферов в полости рта было принято решение о возможности изготовления цельнокерамического циркониевого протеза на этих титаново-циркониевых основаниях.
Надёжность данной конструкции обеспечивается тем, что протез контактирует с съёмной конструкцией на верхней челюсти, а значит, избыточного давления на нижние имплантаты не возникает.

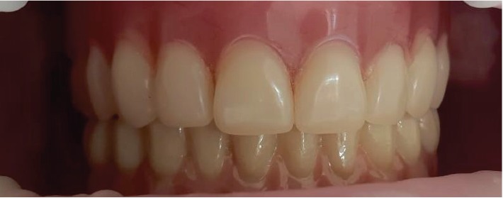
Съемные протезы верхней челюсти и нижней челюсти с опорой на имплантаты in situ.
Цельнокерамический циркониевый каркас был виртуально спроектирован после анализа всех особенностей, зафиксированных на ранее полученном STL-файле с положением сканабатментов, и затем изготовлен с применением CAM-технологий.
Пациентка соблюдает рекомендации по гигиене и проходит плановые осмотры каждые шесть месяцев.

Панорамный вид. Рентгенологическое наблюдение через год после операции.
Обсуждение и выводы
Данный клинический случай демонстрирует успешное сочетание применения коротких имплантатов и полностью навигационной хирургии у возрастной пациентки. Короткие имплантаты доказали свою эффективность как при немедочной, так и при отсроченной нагрузке. У пациентов со сложной клинической ситуацией и невозможностью восстановления объёма кости, короткие имплантаты являются достойной альтернативой традиционной имплантации.
Использование коротких дентальных имплантатов позволяет избежать сложных и травматичных процедур по наращиванию костной ткани, что, в свою очередь, снижает риск осложнений, стоимость лечения, сроки терапии и уровень инвазивности. Кроме того, протокол лечения с применением коротких имплантатов может применяться и у пациентов пожилого возраста, для которых традиционные методы могут быть противопоказаны.
Существуют три типа шаблонов, применяемых при полном отсутствии зубов:
- Шаблоны для ручного сверления
- Шаблоны для частично управляемого направленного сверления
- Шаблоны для полностью управляемого направленного сверления
Полностью навигационные хирургические шаблоны применяются в случаях, когда критически важен точный контроль угла, положения в дуге и глубины имплантации, что напрямую влияет на успех окончательной ортопедической конструкции. Полностью управляемая хирургия зарекомендовала себя как надёжный и точный метод, позволяющий снизить риски, связанные с повреждением альвеолярного нерва, перфорацией синуса, образованием дефектов кости и другими осложнениями.
Кроме точного позиционирования имплантатов, данный подход позволил выполнить операцию без разрезов и отслоения лоскута, что способствует сохранению кровоснабжения мягких тканей, поддерживает их архитектуру и помогает снизить резорбцию кости.
Все эти факторы, объединённые в едином имплантологическом подходе, обеспечили успешную установку имплантатов у возрастной пациентки без осложнений. Несмотря на то что возможности коротких имплантатов ограничены, они требуют дальнейшего изучения в контексте долгосрочной выживаемости в сложных клинических ситуациях и у пациентов старшего возраста с применением подобных методик.
Этическое одобрение
Одобрение этического комитета не требовалось, так как все диагностические, планировочные и лечебные мероприятия проводились в рамках стандартной клинической практики.
Информированное согласие
Пациентка подписала письменное согласие на проведение всех процедур.
Конфликт интересов
Авторы заявляют об отсутствии конфликта интересов.
Список литературы
- Howe M.-S., Keys W., Richards D. Долгосрочная (10 лет) выживаемость дентальных имплантатов: систематический обзор и чувствительный мета-анализ. Journal of Dentistry, 2019;84(9):21. doi: 10.1016/j.jdent.2019.03.008.
- Griggs J. A. Дентальные имплантаты. Dental Clinics of North America, 2017;61(4):857–871. doi: 10.1016/j.cden.2017.06.007.
- Birdi H., Schulte J., Kovacs A., Weed M., Chuang S.-K. Соотношение коронки к имплантату у коротких имплантатов. The Journal of Oral Implantology, 2010;36:425–433. doi: 10.1563/AAID-JOI-D-09-00071.
- Al-Johany S. Показатели выживаемости коротких имплантатов (≤6,5 мм), установленных в жевательные отделы, и факторы, влияющие на выживаемость после 12 месяцев наблюдения: систематический обзор. The International Journal of Oral & Maxillofacial Implants, 2019;34(3):605–621. doi: 10.11607/jomi.7187.
- Fugazzotto P. A. Короткие имплантаты в клинической практике: обоснование и результаты лечения. The International Journal of Oral & Maxillofacial Implants, 2008;23:487–496.
- Schwartz S. R. Короткие имплантаты: являются ли они жизнеспособным вариантом в имплантологии? Dental Clinics, 2015;59:317–328. doi: 10.1016/j.cden.2014.10.008.
- Schimmel M., Srinivasan M., McKenna G. J., Müller F. Влияние пожилого возраста и/или системных заболеваний на выживаемость дентальных имплантатов: систематический обзор и мета-анализ. Clinical Oral Implants Research, 2018;29:311–330. doi: 10.1111/clr.13288.
- Heitz-Mayfield L. J., Aaboe M., Araujo M., и др. Консенсусный отчёт ITI (Группа 4): риски и биологические осложнения, связанные с имплантологическим лечением. Clinical Oral Implants Research, 2018;29:351–358. doi: 10.1111/clr.13307.
- De Groot R. J., Oomens M. A. E. M., Forouzanfar T., Schulten E. A. J. M. Аугментация кости с последующей установкой имплантатов у полностью беззубых пациентов: систематический обзор. Journal of Oral Rehabilitation, 2018;45(4):334–343. doi: 10.1111/joor.12605.
- Pohl V., Thoma D. S., Sporniak-Tutak K., и др. Сравнение коротких (6 мм) и длинных (11–15 мм) имплантатов в сочетании с операцией синус-лифтинга: трёхлетние результаты мультицентрового РКИ. Journal of Clinical Periodontology, 2017;44(4):438–445. doi: 10.1111/jcpe.12694.
- Lanis A., Alvarez del Canto O., Barriga P., Polido W. D., Morton D. Компьютерно-направляемая установка имплантатов и немедленная нагрузка цельной дуги с использованием префабрикованного металлокаркаса на 3D-печатной модели. Journal of Esthetic and Restorative Dentistry, 2019;31(3):199–208. doi: 10.1111/jerd.12458.
- Lekholm U., Zarb G. A. Отбор и подготовка пациентов. В: Brånemark P. I., Zarb G. A., Albrektsson T., ред. Tissue integrated prostheses: osseointegration in clinical dentistry. Chicago: Quintessence Publishing; 1985. С. 199–209.
- Grant B.-T. N., Pancko F. X., Kraut R. A. Результаты установки коротких имплантатов в заднем отделе нижней челюсти: ретроспективное исследование 124 случаев. Journal of Oral and Maxillofacial Surgery, 2009;67(4):713–717. doi: 10.1016/j.joms.2008.11.004.
- Edher F., Nguyen C. T. Короткие имплантаты: обзор литературы для пациентов с опухолями головы и шеи. The Journal of Prosthetic Dentistry, 2018;119(5):736–742. doi: 10.1016/j.prosdent.2017.06.003.
- Moy P. K., Pozzi A., Beumer J., III. Основы имплантологического лечения. Том II: Хирургические принципы. 1-е изд. США: Quintessence Publishing; 2017.
- Gallardo Y. N. R., da Silva-Olivio I. R. T., Mukai E., и др. Сравнение точности направляемой хирургии при установке имплантатов в зависимости от опорной ткани: систематический обзор и мета-анализ. Clinical Oral Implants Research, 2016;28(5):602–612. doi: 10.1111/clr.12841.
- Sclar A. G. Рекомендации по беслоскутной хирургии. Journal of Oral and Maxillofacial Surgery, 2007;65:20–32. doi: 10.1016/j.joms.2007.03.017.
- Cosyn J., Hooghe N., De Bruyn H. Систематический обзор частоты выраженной рецессии после немедленной имплантации одного зуба. Journal of Clinical Periodontology, 2012;39:582–589. doi: 10.1111/j.1600-051x.2012.01888.x.