Введение
Внутреннее или внешнее изменение цвета зуба представляет собой серьёзную эстетическую проблему, особенно когда речь идёт о передних зубах. Поскольку цвет является ключевым фактором в эстетической стоматологии, особенно в зоне улыбки, устранение изменения цвета после эндодонтического лечения стало заметной клинической задачей.
Одним из подходов к эстетической реабилитации обесцвеченных зубов является использование керамических реставраций. Эти методы относятся к щадящим и малоинвазивным. Однако при восстановлении изменённого цвета зубов с помощью виниров или коронок существует значительный риск того, что тёмная структура подлежащего зуба будет просвечивать сквозь относительно тонкую и полупрозрачную керамику. В связи с этим применяются различные стратегии маскировки обесцвечивания: использование более непрозрачной керамики и цементов для фиксации либо увеличение глубины препарирования зуба. Каждая из этих методик имеет свои сложности. Так, непрозрачные материалы могут придавать реставрации плоский и неестественный вид, а более глубокая обработка зуба, необходимая для увеличения толщины керамики, может обнажить дентин, что ухудшает прочность адгезии. Поэтому рекомендуется максимально сохранять препарирование в пределах эмали для обеспечения оптимального сцепления.
Оценка оттенка зубов — один из самых важных этапов в восстановительной стоматологии. Изменение цвета одного или двух передних зубов может серьёзно повлиять на эстетику из-за несоответствия цвета соседним зубам. Система eLAB и другие платформы цифровой оценки оттенков открывают путь к созданию нового стандарта объективной передачи цвета в стоматологии. Точный подбор из широкого спектра индивидуализированных керамических масс обычно основывается на анализе изображений, индивидуальной карте оттенков и, прежде всего, на клиническом опыте и субъективном восприятии. Эта сложность вносит значительную долю неопределённости в предсказуемость совпадения оттенков в реальности. Настоящая статья демонстрирует восстановление передних зубов с разным оттенком с использованием системы eLAB prime.
Клинический случай
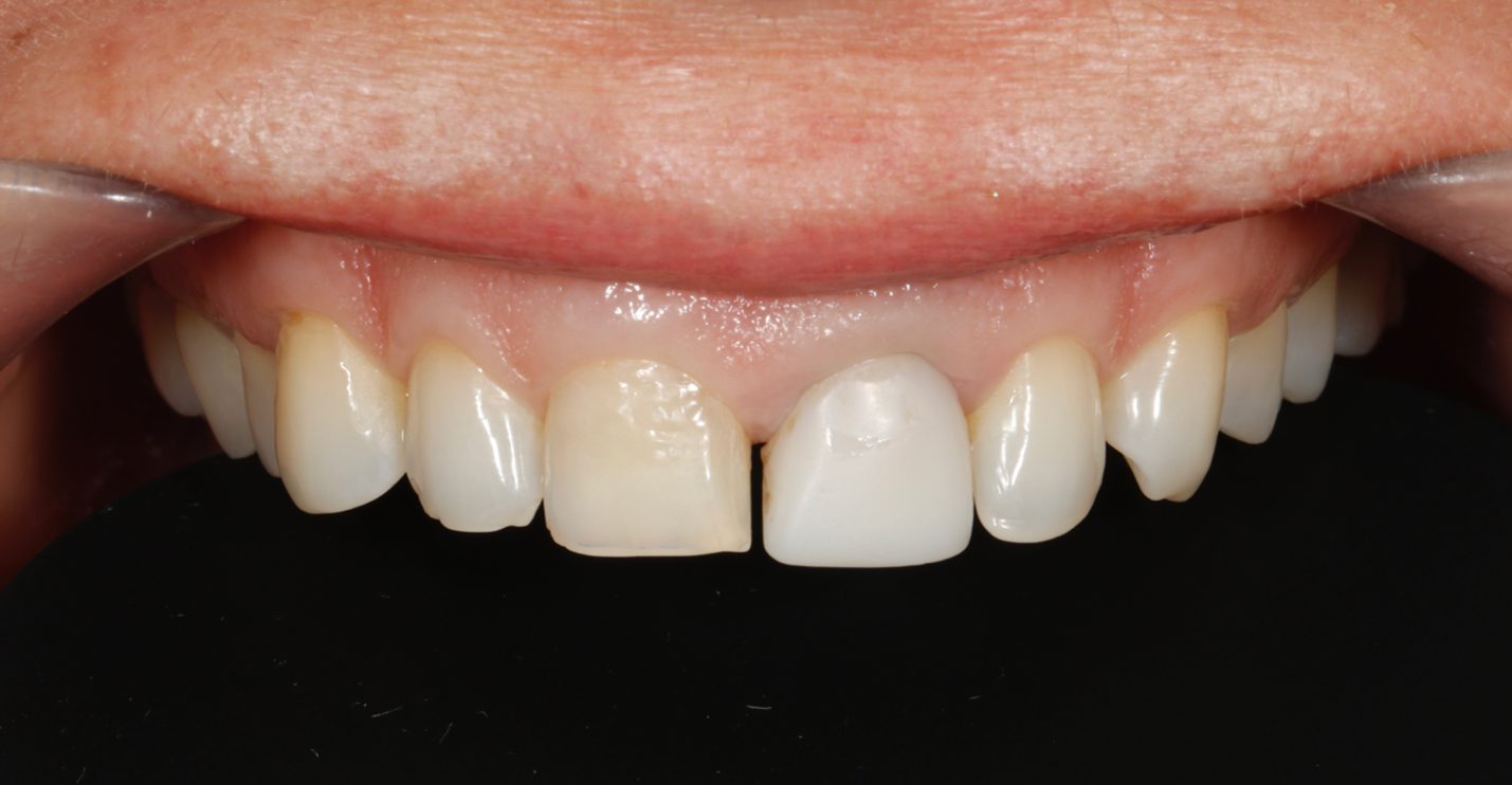
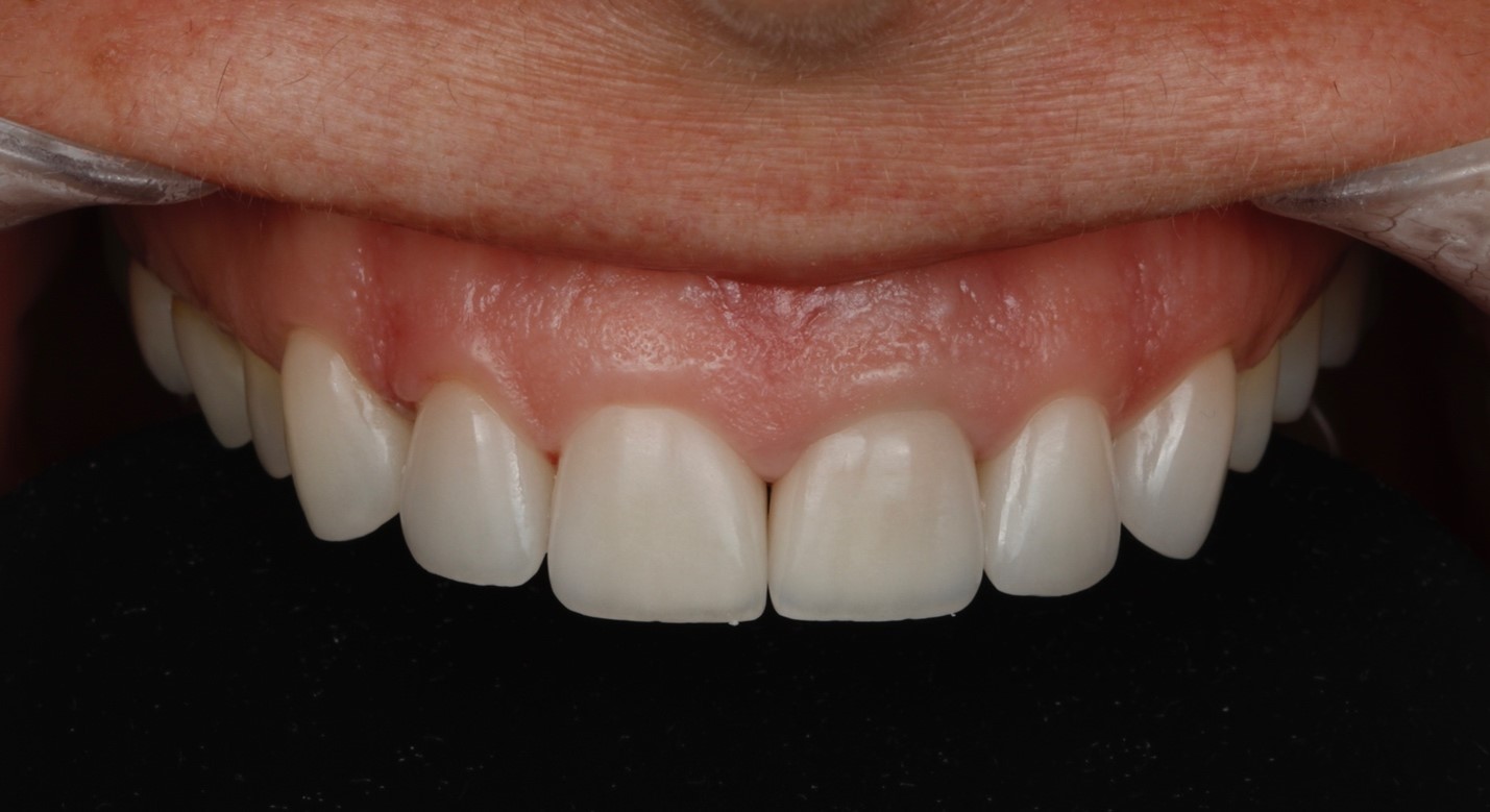
Пациентка И., 43 лет, обратилась в клинику с жалобами на эстетику передних зубов (рис. 1). Зуб 21 ранее проходил эндодонтическое лечение более шести лет назад. На момент первичного осмотра зуб был восстановлен временной композитной коронкой. Зуб 11 имел более тёмный оттенок по сравнению с верхними боковыми резцами. После обсуждения плана лечения пациентка выбрала восстановление зубов с 13 по 23 с использованием керамических реставраций.

Рис. 1. A – вид передней группы зубов с ретракторами. Зуб 21 ранее был пролечен эндодонтически и восстановлен временной коронкой.

B – улыбка пациента.
Во время второго визита была выполнена диагностическая восковая реставрация, и пациентка получила консультацию. Пациентка выразила желание сохранить временные реставрации для дальнейшей оценки формы и контура (рис. 2).

Рис. 2. Временные реставрации на 6 зубов были установлены пациентке для согласования формы.
В третье посещение была проведена подготовка зубов под микроскопом под керамические реставрации. Изначала выполнена разметка зубов через временные реставрации, после чего был выполнен основной этап препарирования под контролем силиконовых ключей. Зуб 21 был подготовлен под коронку (Рисунок 3). Далее была проведена оценка цвета неподготовленный и подготовленных под керамические реставрации зубов (Рисунок 4). После снятия оттисков были изготовлены временные прямые реставрации Luxatemp A1 (DMG, Германия).

Рис. 3. Этапы препарирования зубов. А – разметка зубов через временные реставрации.

B – вид на этапе снятие оттисков.

С – проверка препарирования с помощью силиконового ключа.

Рис. 4. A – фото с серой картой eLAB prime.

B – определение рецепта керамики в программе eLAB Prime.
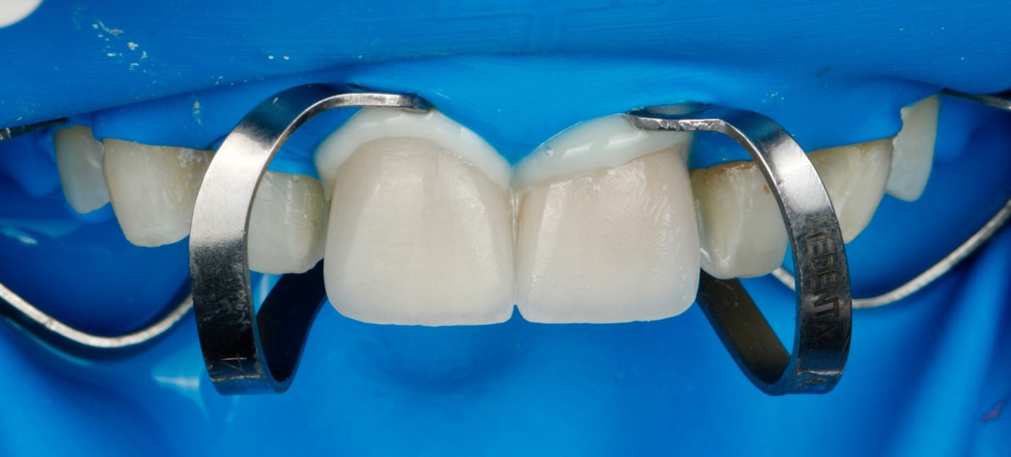
После определения цвета, был изготовлен колпачок IPS E.max Press (Ivoclar Vivadent) из таблетки цвета МО-2. После припасовки колпачка на контрольной гипсовой модели (Рисунок 5) и согласовании его с врачом были изготовлены керамические виниры Noritake EX-3, (Kuraray Noritake Dental Inc., Япония) однородной толщины и структуры (Рисунок 6). После проверки виниров на контрольной модели работа была направлена в клинику для припасовки и фиксации.

Рисунок 5. Керамические виниры и колпачок на зуб 21.

Рис. 6. Керамические виниры на рабочей модели.
После припасовки виниров в полости рта и определения цементов для фиксации с помощью примерочных паст Variolink Try-In, была проведена изоляция зубов системой коффердам (Рисунок 7). Изначально проведена фиксация колпачка из дисиликата лития на Variolink Esthetic DC Refill (Ivoclar Vivadent AG) оттенка warm (Рисунок 8). Зуб и колпачок были подготовлены в соответствие с протоколом адгезивной фиксации дисиликата лития. Проведен рентгенологический контроль.

Рис. 7. Изоляция зубов коффердамом для адгезивной фиксации.

Рис. 8. Фиксация колпачка на зуб 21.
Затем были восстановлены зубы 21 и 11. Колпачок из литийдисиликата был обработан в соответствии с адгезивным протоколом для керамики на основе литийдисиликата, а виниры — согласно протоколу адгезивной фиксации для фельдшпатовидной керамики. Винир на зуб 11 был зафиксирован цементом Variolink Esthetic LC в оттенке Light Plus, а винир на колпачке зуба 21 — цементом Variolink Esthetic LC в оттенке Light (рис. 9). Для боковых резцов и клыков верхней челюсти использовался цемент Variolink Esthetic LC в нейтральном (Neutral) оттенке. Использованные материалы представлены на рисунке 10.

Рис. 9. Фиксация керамических виниров 11 и 21.

Рис. 10. Материалы, использованные для фиксации керамических реставраций в представленном клиническом случае.
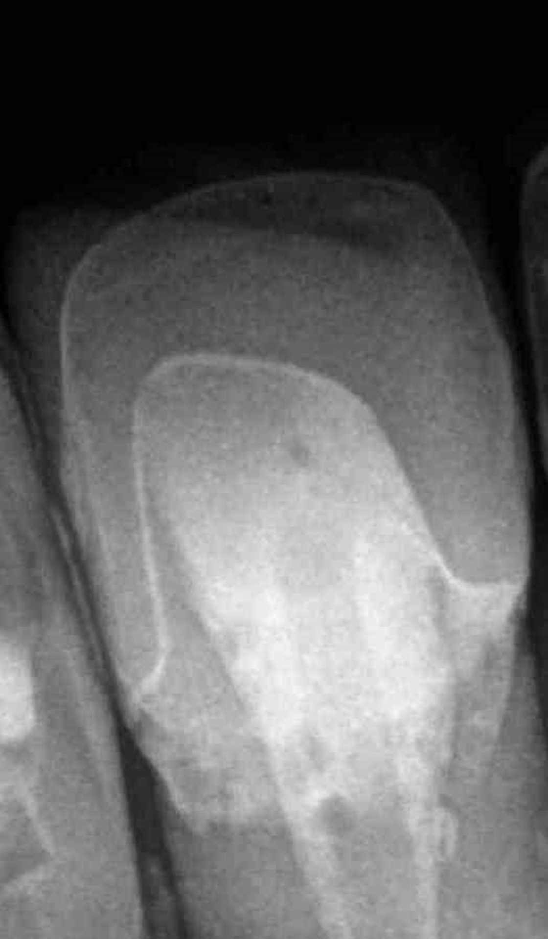
Через три дня после повторной гидратации зубов пациентка была приглашена на контрольный приём. Отмечено заживление мягких тканей после процедуры фиксации. Также был зафиксирован приемлемый цветовой результат и гармоничное сочетание керамических виниров с окружающими тканями (рисунки 11 и 12). Рентгеновский снимок зуба 21 представлен на рисунке 13.

Рис. 11. Клиническая картина передних зубов верхней челюсти через 3 дня после фиксации.

Рис. 12. Клиническая картина улыбки через 3 дня после фиксации.

Рис. 13. Рентгенограмма зуба 21 после фиксации.
Обсуждение
Несмотря на современные технологические достижения в области решения проблем с цветом зубов и реставраций, подбор естественного оттенка передних зубов остается сложной задачей, которая часто приводит к неопределенному результату. До недавнего времени достижение предсказуемых результатов зависело исключительно от мастерства клинициста и знаний врача-стоматолога ортопеда. Использование поляризованной фотографии и карты eLAB prime обеспечивает керамиста оптимальной дорожной картой для достижения предсказуемого подбора оттенка. Предложенный протокол является адаптированной, упрощенной версия варианта, предложенного Meng et al., который сочетает в себе коррекцию баланса белого с коррекцией экспозиции по определенному стандарту при использовании современных достижений искусственного интеллекта и коррекции минимальных расхождений с помощью цемента для фиксации.
Заключение
В данном клиническом случае было продемонстрировано, что стандартизированные цифровые фотографии с использованием карты (eLAB) являются простым и доступным ресурсом для получения предсказуемого эстетического результата с использованием виниров из полевошпатной керамики и колпачка из дисиликата лития.
Список литературы
- Priyanka SR Veronica. Tooth discolouration due to endodontic materials and procedures. IOSR Journal of Dental and Medical Sciences. 2013;9:32–6
- Tsanaktsidis D. Tooth bleaching guided by elab protocol. Endodontics Today. 2021;19(4):326-329. https://doi.org/10.36377/1683-2981-2021-19-4-326-329
- Nogueira AD, Della Bona A. The effect of a coupling medium on color and translucency of cad cam ceramics. J Dent. 2013;3:18-23.
- Paravina RD, Ghinea R, Herrera LJ, et al. Color difference thresholds in dentistry. J Esthet Restor Dent. 2015;27:1-9.
- Perroni AP, Bergoli CD, Bertolini MFS, et al. Spectrophotometric anal- ysis of clinical factors related to the color of ceramic restorations: a pilot study. J Prosthet Dent. 2017;118:611-616.
- Bosenbecker J, Barbon FJ, de Souza Ferreira N, Morgental RD, Boscato N. Tooth discoloration caused by endodontic treatment: A cross-sectional study. J Esthet Restor Dent. 2020 Sep;32(6):569-574. doi: 10.1111/jerd.12572.
- Krastl G, Allgayer N, Lenherr P, Filippi A, Taneja P, Weiger R. Tooth discoloration induced by endodontic materials: a literature review. Dent Traumatol. 2013 Feb;29(1):2-7. doi: 10.1111/j.1600-9657.2012.01141.x. Epub 2012 Apr 19. PMID: 22513082.
- Attin T, Paque F, Ajam F, Lennon AM. Review of the current status of tooth whitening with the walking bleach technique. International Endodontic Journal. 2003;36:313–29.
- Pallarés-Serrano A, Pallarés-Serrano S, Pallarés-Serrano A, Pallarés-Sabater A. Assessment of Oxygen Expansion during Internal Bleaching with Enamel and Dentin: A Comparative In Vitro Study. Dent J (Basel). 2021 Aug 24;9(9):98. doi: 10.3390/dj9090098.
- Carrasco L.D., Fröner I.C., Corona S.A.M., Pécora J.D. Effect of internal bleaching agents on dentinal permeability of non-vital teeth: Quantitative assessment. Dent. Traumatol. 2003;19:85–89. doi: 10.1034/j.1600-9657.2003.00112.x
- Klarick E., Rakic M., Sever I., Milat O., Par M., Tarle Z. Enamel and dentin microhardness and chemilcal composition after experimental light-activated bleaching. Oper. Dent. 2015;40:e132–e141. doi: 10.2341/14-148-L.
- Xing W., Chen X., Ren D., Zhan K., Wang Y. The effect of ceramic thickness and resin cement shades on the color matching of ceramic veneers in discolored teeth. Odontology. 2017;105(4):460–466. doi: 10.1007/s10266-016-0287-9
- Montero J., Gómez‐Polo C. Effect of ceramic thickness and cement shade on the final shade after bonding using the 3D master system: a laboratory study. Clinical and Experimental Dental Research. 2016;2(1):57–64. doi: 10.1002/cre2.22.
- Begum Z., Chheda P., Shruthi C. S., Sonika R. Effect of ceramic thickness and luting agent shade on the color masking ability of laminate veneers. The Journal of Indian Prosthodontic Society. 2014;14(S1):46–50. doi: 10.1007/s13191-014-0362-2
- Coachman C., Gurel G., Calamita M., Morimoto S., Paolucci B., Sesma N. The influence of tooth color on preparation design for laminate veneers from a minimally invasive perspective: case report. The International Journal of Periodontics & Restorative Dentistry. 2014;34(4):453–459. doi: 10.11607/prd.1900
- Omar H., Atta O., El-Mowafy O., Khan S. A. Effect of CAD-CAM porcelain veneers thickness on their cemented color. Journal of Dentistry. 2010;38:e95–e99. doi: 10.1016/j.jdent.2010.05.006.
- Faus-Matoses V., Faus-Matoses I., Ruiz-Bell E., Faus-Llacer V. J. Severe tetracycline dental discoloration: restoration with conventional feldspathic ceramic veneers. A clinical report. Journal of Clinical and Experimental Dentistry. 2017;9(11):e1379–e1382. doi: 10.4317/jced.54359
- Greta D.C., Colosi H.A., Gasparik C., Dudea D. Color comparison between non-vital and vital teeth. J. Adv. Prosthodont. 2018;10:218–226. doi: 10.4047/jap.2018.10.3.218.
- Hein S, Modrić D, Westland S, Tomeček M. Objective shade matching, communication, and reproduction by combining dental photography and numeric shade quantification. J Esthet Restor Dent. 2021 Jan;33(1):107-117. doi: 10.1111/jerd.12641.
- Mourouzis P, Koulaouzidou E, Palaghias G, Helvatjoglu-Antoniades M. Color match of luting composites and try-in pastes: the impact on the final color of CAD/CAM lithium disilicate restorations. Int J Esthet Dent. 2018;13(1):98-109.
- Schlichting LH, Resende TH, Reis KR, Raybolt Dos Santos A, Correa IC, Magne P. Ultrathin CAD-CAM glass-ceramic and composite resin occlusal veneers for the treatment of severe dental erosion: An up to 3-year randomized clinical trial. J Prosthet Dent. 2022 Aug;128(2):158.e1-158.e12. doi: 10.1016/j.prosdent.2022.02.009.
- Hein S, Zangl M. The use of a standardized gray reference card in dental photography to correct the effects of five commonly used diffusers on the color of 40 extracted human teeth. Int J Esthet Dent. 2016 Summer;11(2):246-59.