
Олег Морданов
Ортопед-гнатолог



Образование
С отличием окончил Медицинский институт Университета РУДН, Москва, Россия.
Ординатура в Центральном научно-исследовательском институте стоматологии и челюстно-лицевой хирургии.
Успешно защитил диссертацию на тему «Клинико-лабораторное обоснование оптимизации протоколов обработки и фиксации реставраций из диоксида циркония с преобладанием кубической фазы» на соискание ученой степени клинического кандидата наук в Университете РУДН, Москва.
Применение окклюзионной концепции функциональной дизокклюзии в тотальной стоматологической реабилитации. Теория и практика - Артур Мартиросян, Арам Абгарян.
Галип Гюрель «Комплексный подход к созданию красивой улыбки в сложных клинических случаях. Керамические виниры», Стамбул.
Техника BOPT и вертикальная подготовка. Индивидуальный курс - Дмитрий Компаниец.
VERTIPREP AND BOPT CONCEPT-Томас Ковач, Хорхе Андре Пинто Кардозу, Мауро Кокцола, Фелипе Франко де Соуза, Эмануэле Тарашио.
Полноценная реабилитация. Имплантация и протезирование - Джакомо Фаббри, Энрико Альярди, Франческо Минтроне, Марко Дегиди.
Протоколы BOPT. Хирургия, протезирование, стадия зубного техника - Аман Бхарти, Мартин Лагуна, Фабио Скутелла, Рубен Агустин Панадеро, Кристиан Абад Коронель.
Грегор Славичек. Кондилография: Запись и анализ.
Курс «Факторы выбора конструкций протезов» - Гамид Насуев.
Годовое индивидуальное обучение у Дмитрия Компаниеца.
Грегор Славичек. Сплинт-терапия.
Базовый курс VieSID, Медицинский университет и Университетская клиника стоматологии Вены, Вена, Австрия
Продвинутый курс по кондилографии VieSID ACT24 / Части A и B, Медицинский университет и Университетская клиника стоматологии Вены, Вена, Австрия
Семинар VieSID 3D, Медицинский университет и Университетская клиника стоматологии Вены, Вена, Австрия
Практикум по изготовлению кап VieSID, Медицинский университет и Университетская клиника стоматологии Вены, Вена, Австрия
Лекция и практический курс по прикладной ортопедической стоматологии для практикующих врачей-стоматологов на базе клиники и зуботехнической лаборатории, Гамид Насуев, Москва, Россия
Профессиональные навыки
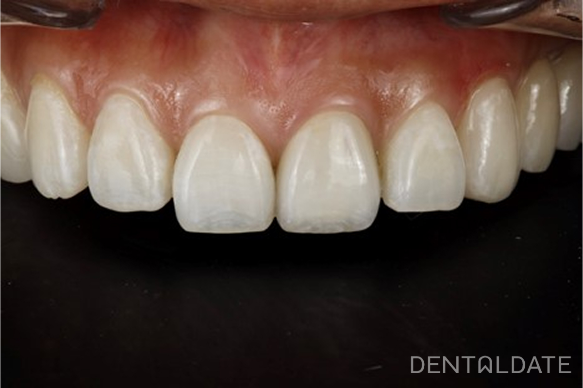
Эстетические реставрации (с использованием бинокулярной лупы 7,5x и микроскопа)
Функциональная и эстетическая реабилитация пациентов со сложными клиническими случаями
Цифровая стоматология (концепция Viesid)
Английский язык (IELTS 6.5), немецкий язык (GOETHE-ZERTIFIKAT B2), русский язык (родной)
Автор 60 научных публикаций на английском и русском языках, в том числе 39 публикаций в Scopus (10 со ссылками в PubMed)
Записаться онлайн
Кейсы






















