Look at the photo: the mini-screw is installed incorrectly, and there is no change in a month.

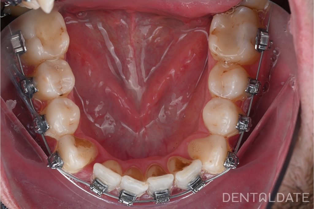
Now in the photo is the work of a DentalDate specialist.

Just one month after correct placement, the results are clear: the necessary space has been created, and the dental arch has become wider and more symmetrical.
At DentalDate, we guarantee precision and expertise. Entrust your smile to professionals to ensure every step of your treatment is a move towards a flawless result.