Why is this important?
Permanent molars erupt early but do not get replaced — they are “for life.” That’s why protecting them and treating any issues in time is crucial. In children, cavities tend to progress faster than in adults due to the structure of the enamel and challenges with maintaining proper hygiene.
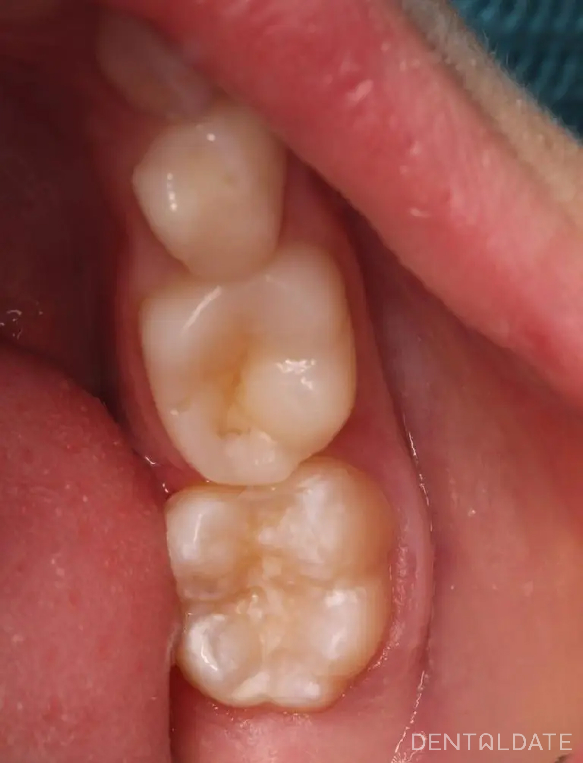
Diagnosis
- A clinical examination was performed using a dental mirror and explorer.
- A targeted X-ray confirmed the presence of a carious lesion in the buccal fissure of the tooth.
Treatment Steps
- Anesthesia – gentle and effective local anesthesia was used, appropriate for the child’s age.
- Rubber dam isolation – to protect the tooth from saliva and bacteria during treatment.
- Removal of decayed tissue – carefully done to preserve as much healthy tooth structure as possible.
- Filling – a modern composite material was used, mimicking the natural anatomy of the tooth and resistant to chewing forces.
- Finishing and polishing – to create smooth transitions, prevent plaque buildup, and restore proper bite function.
- Parental guidance – provided with instructions on oral care, diet, and preventive measures.
Prevention
To protect the remaining permanent molars, we recommended:
- Fissure sealants – sealing deep chewing grooves with a special protective material.
- Fluoride treatment – to strengthen tooth enamel.
- Oral hygiene education – for both the child and the parents.
- Regular check-ups every 3–4 months.



