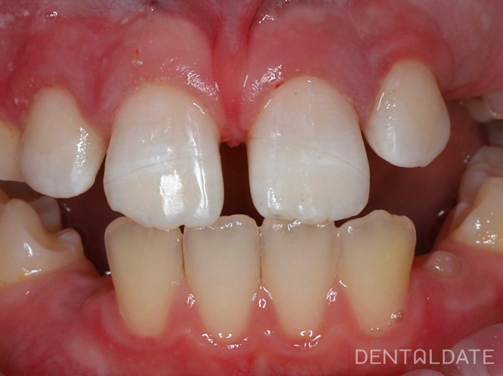
An adolescent presented to us with complaints of severe pain and damage to the upper central teeth after an injury. On examination, we found chipping of the coronal part and exposure of the pulp tissue. Such injuries are especially risky at a young age: without treatment, tooth loss, inflammatory complications, and the development of chronic pain are possible.
The fractured tooth fragments were able to be preserved — they were carefully processed and prepared for fixation. To maintain the tooth’s vitality, the pulp was covered with a biocompatible material. After that, the fragments were fixed with a modern composite, which made it possible to restore not only the anatomical shape, but also the natural color of the teeth.
Result: the teeth retained their function and aesthetics, and the teenager was able to return to normal life without discomfort or self-consciousness.
Why this is important
Many parents think that a chipped tooth in a child or teenager is only a cosmetic problem. In reality, such injuries can lead to serious consequences:
- increased sensitivity and pain while eating,
- risk of pulp inflammation,
- future tooth displacement,
- worsening of the bite.
Timely intervention made it possible to keep the teeth vital and avoid complex prosthetic treatment.
What patients should know
If a child or teenager suffers a dental injury:
- do not throw away the broken fragments — they can often be reused for restoration;
- the sooner you see a dentist, the higher the chances of saving the tooth;
- modern materials make it possible to achieve a result where the restored tooth is indistinguishable from the natural one.
In such cases, prompt action is crucial. At DentalDate, we use modern methods of gnathology and aesthetic dentistry, which allow us to preserve teeth even after severe damage and return a healthy smile to the patient.


