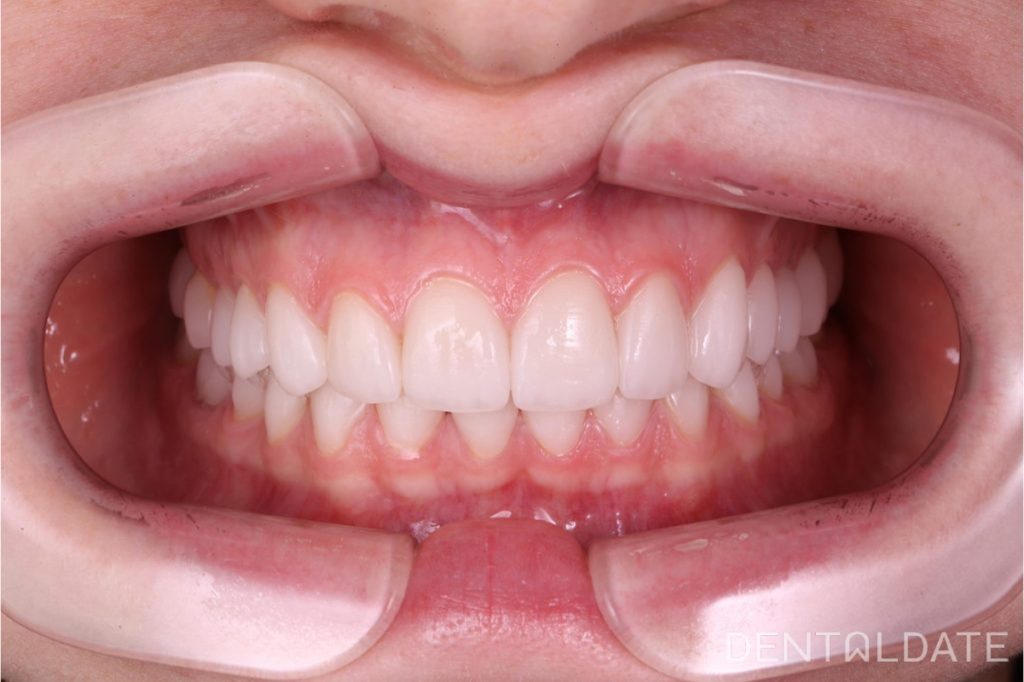
A comprehensive diagnosis, including condylography, was carried out, followed by correction of bite height and work with the soft tissues of the gingiva.
As a result, 28 thin-walled ceramic veneers of a natural shade with a transparent incisal edge were fabricated.
The patient was very satisfied with the result.
