Following a thorough and carefully planned diagnosis, orthodontic treatment with braces took just over one year, resulting in an excellent aesthetic outcome.




Case DentalDate
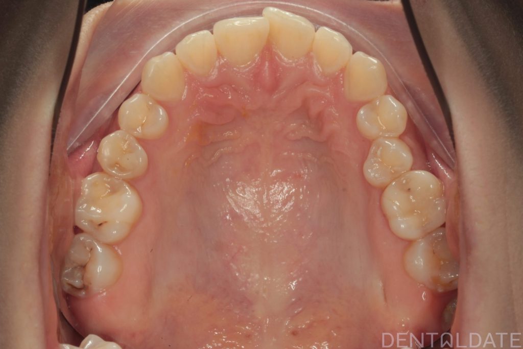
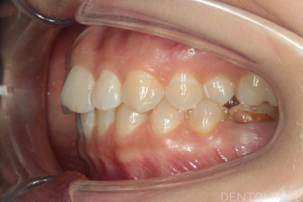
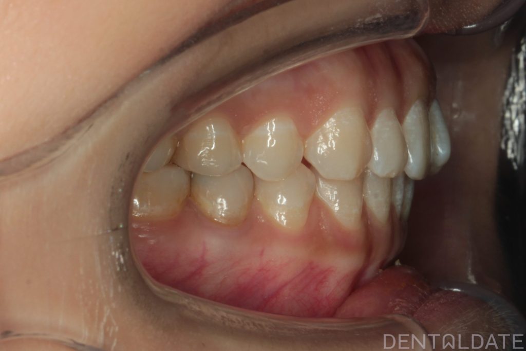
The patient sought orthodontic treatment since childhood.
The front teeth were crowded and distal bite was present.
Orthodontist-gnathologist
Following a thorough and carefully planned diagnosis, orthodontic treatment with braces took just over one year, resulting in an excellent aesthetic outcome.



