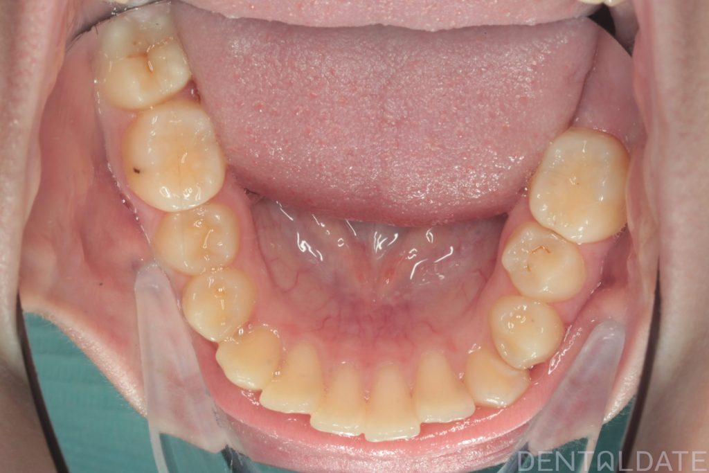
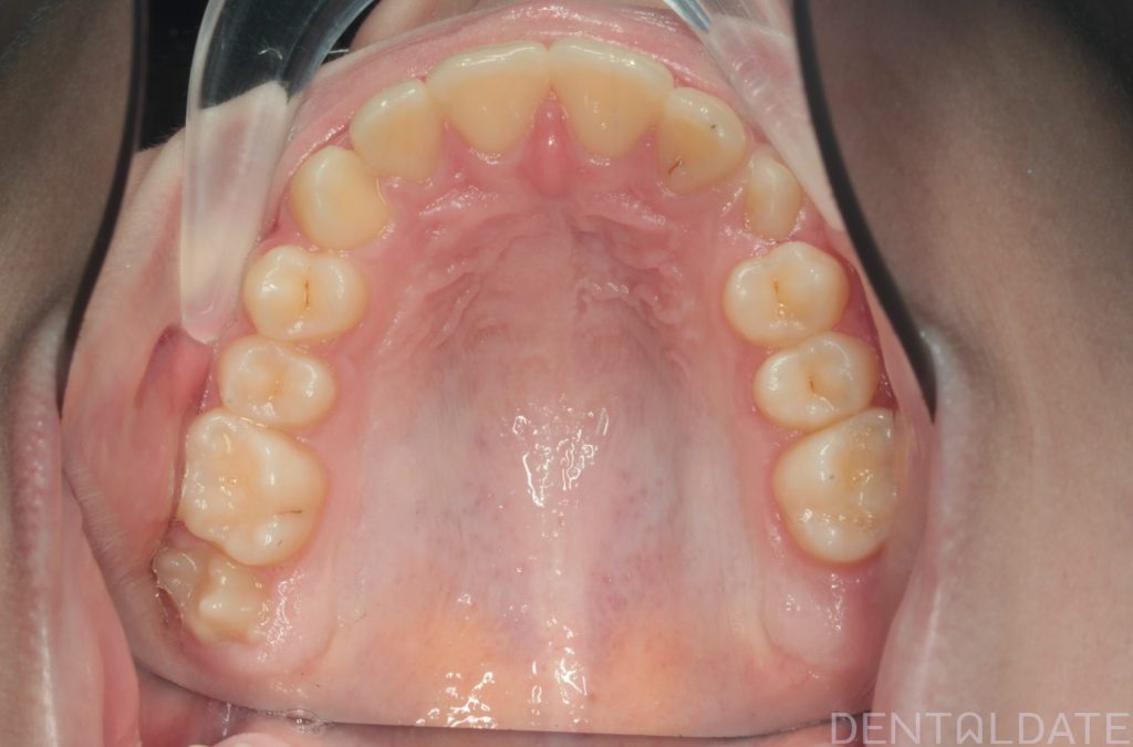
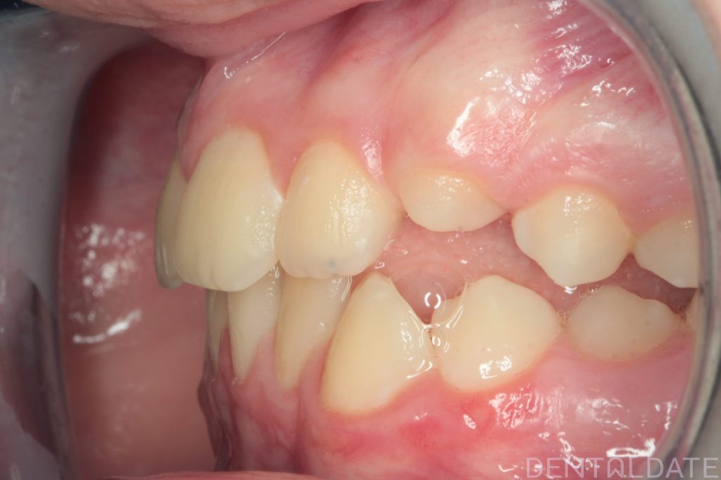
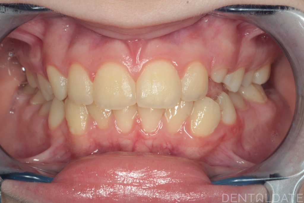
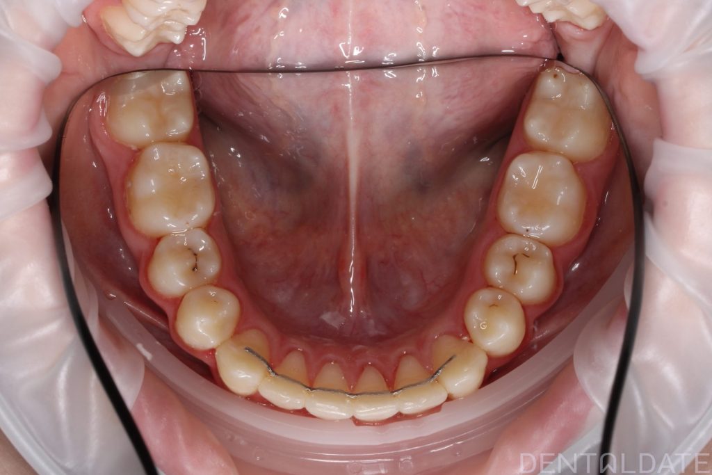
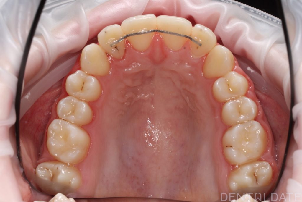
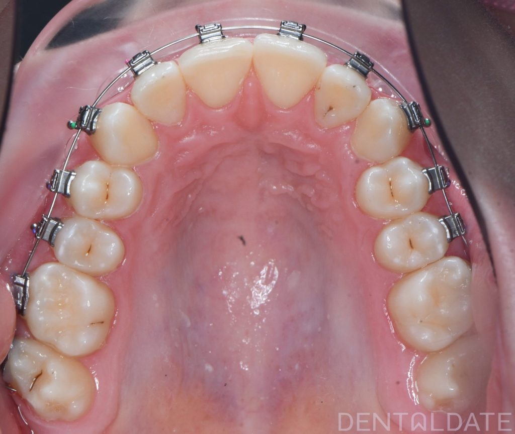
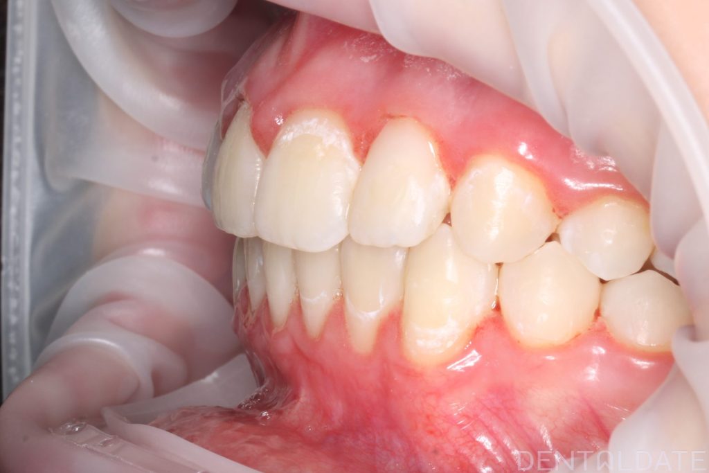
After performing diagnostics procedures, we initially expected that two mini-screws would be required during orthodontic treatment.
However, as a result of the patient’s excellent cooperation and effective biomechanics, we managed to succeed with braces alone.













