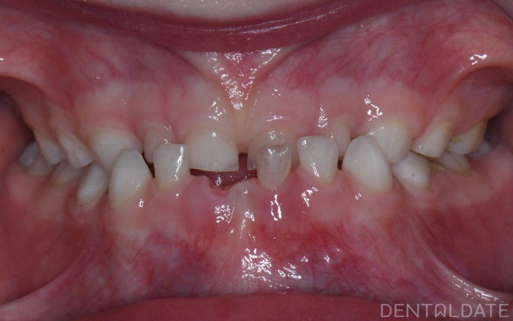
A key goal of children orthodontic treatment is to normalize physiological growth and development.
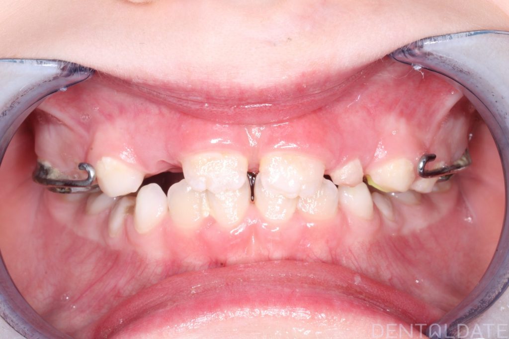
We placed a Haas appliance and supported it with a Delaire facemask.
The young patient is now able to chew comfortably and smile with confidence.





Case DentalDate
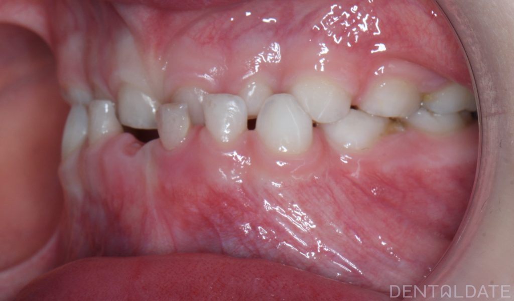
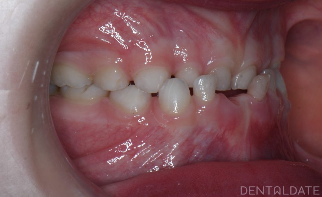
The patient’s mother came in for a consultation, reporting that her child was experiencing difficulty chewing and rarely smiled.
Orthodontist-gnathologist
A key goal of children orthodontic treatment is to normalize physiological growth and development.
We placed a Haas appliance and supported it with a Delaire facemask.
The young patient is now able to chew comfortably and smile with confidence.




