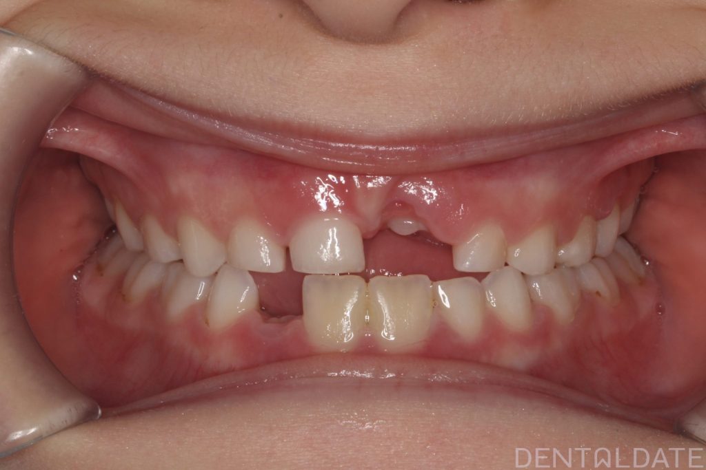
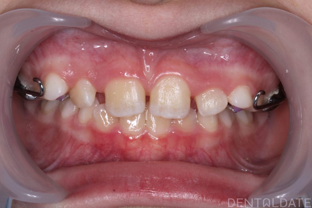
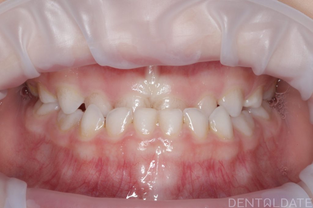
Orthodontic treatment was carried out in several stages. However, after the first stage, the bite was normalized, and the upper jaw was able to continue its physiological growth.
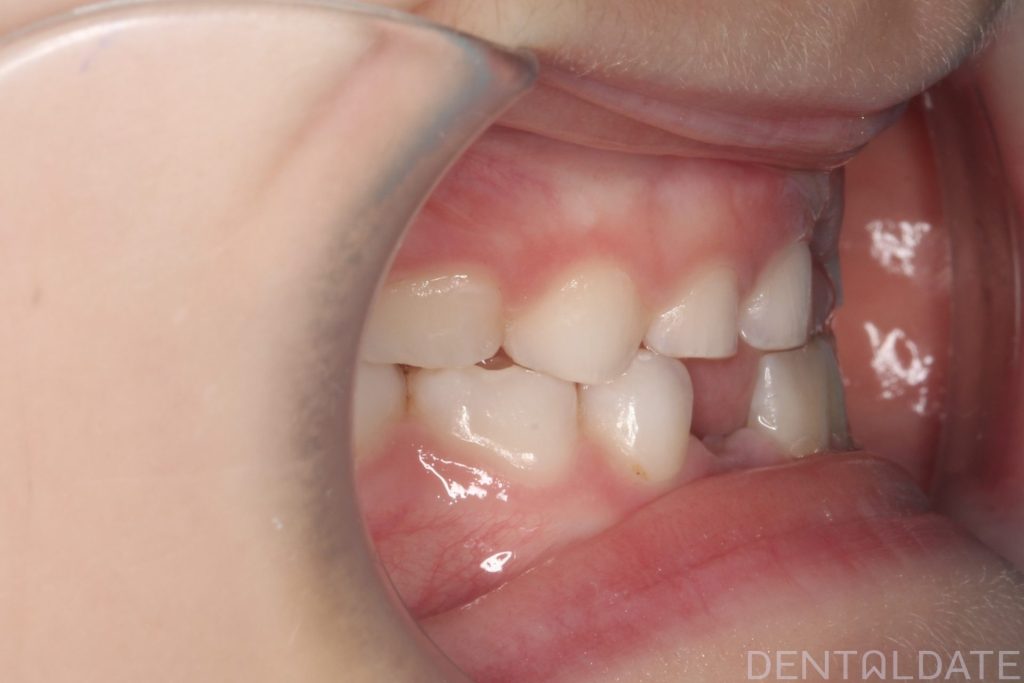
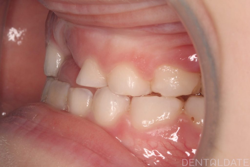
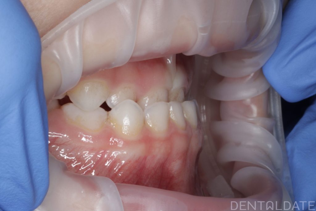
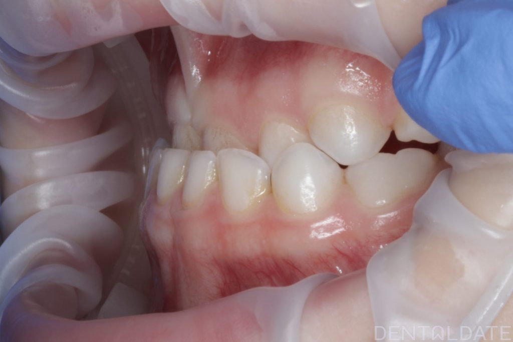
We then proceeded to create space for the permanent teeth following an extended growth period, and focused on correcting the skeletal discrepancy.
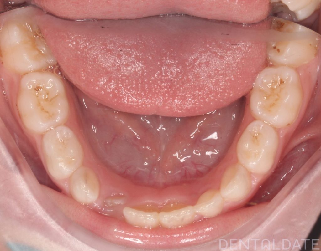
It is important to understand that such successful outcomes are achievable primarily in growing patients. Without timely and properly planned children treatment, this case could have eventually required orthognathic surgery.









