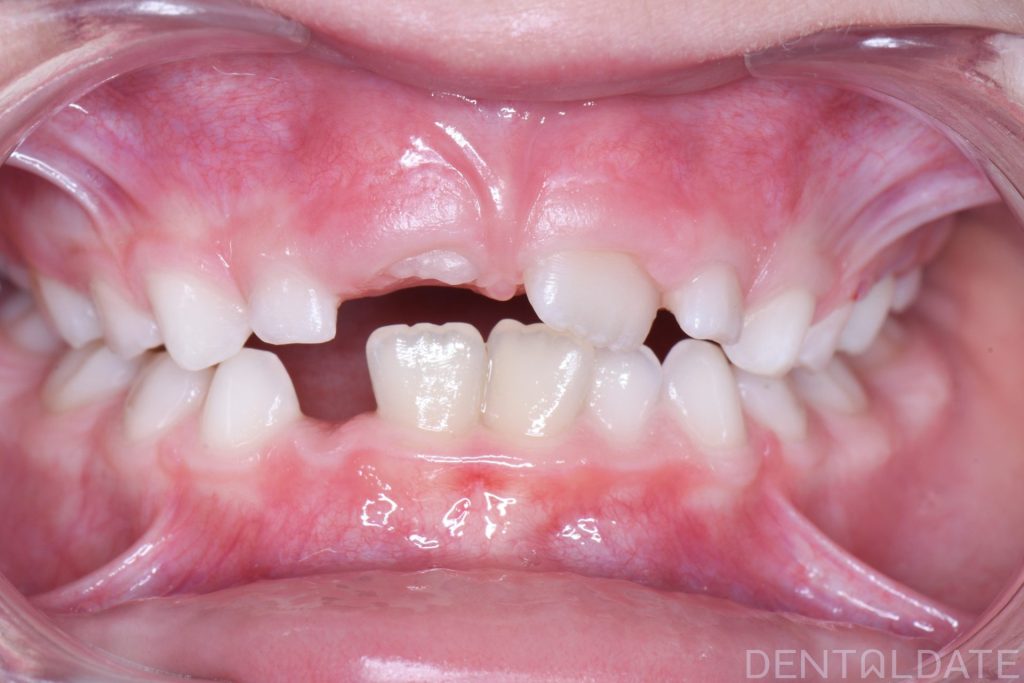
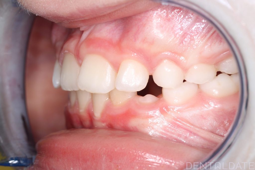
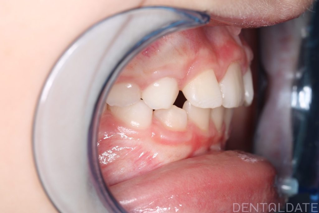
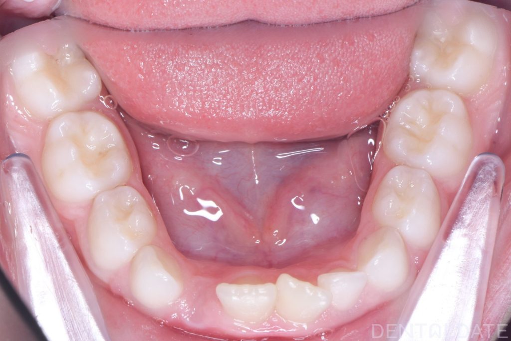
In this case, there was a severe lack of space for the permanent teeth, narrowing of the upper jaw, and the development of a malocclusion.
A Haas appliance was placed as the first stage of treatment, followed by the use of a myofunctional appliance.
Because the treatment was initiated right on time, there was no need for 2*4 braces. The child continues to grow and develop normally.






