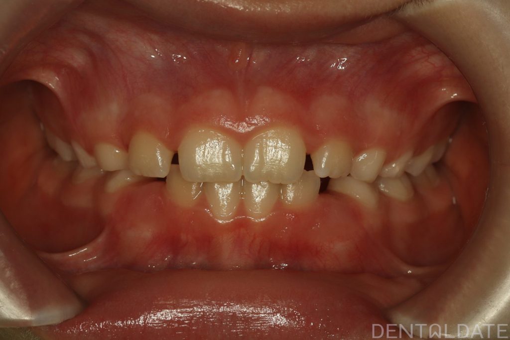
To achieve harmony between function and aesthetics, a Haas appliance was used, followed by a myofunctional appliance.
We continue to monitor the young patient’s growth and development.









Case DentalDate
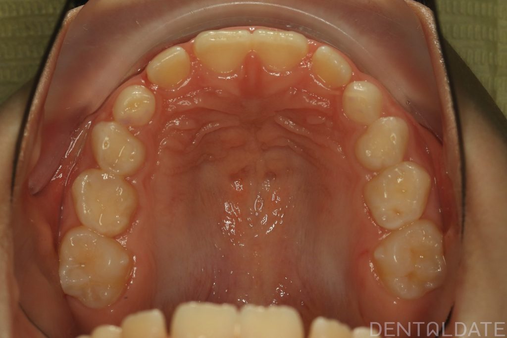
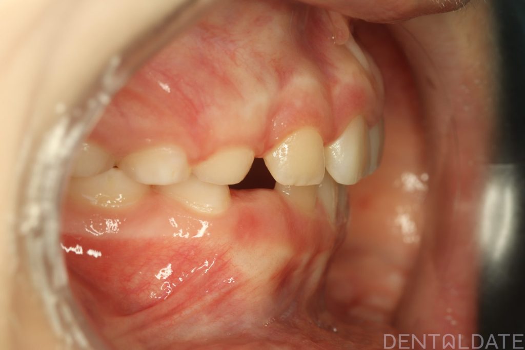
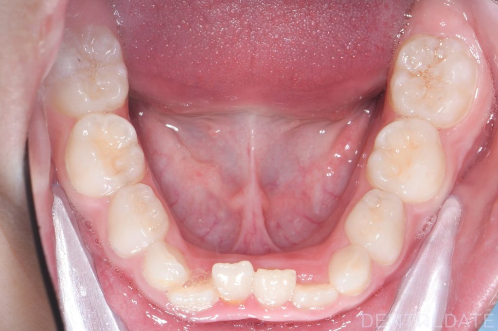
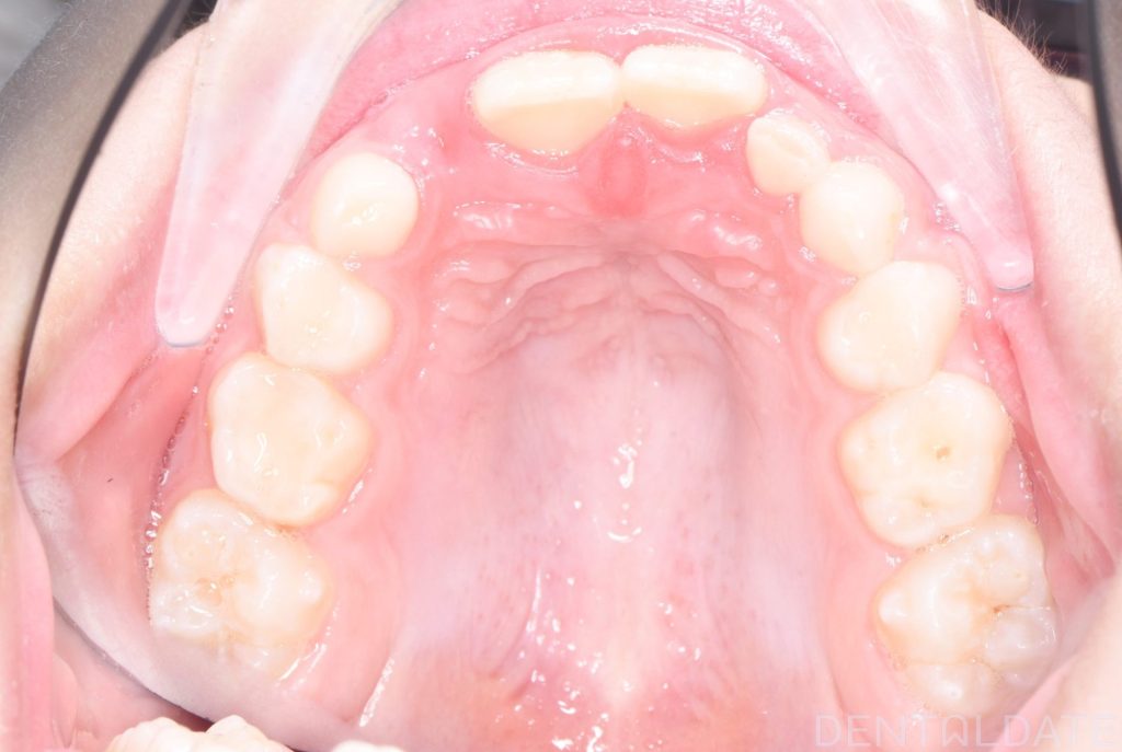
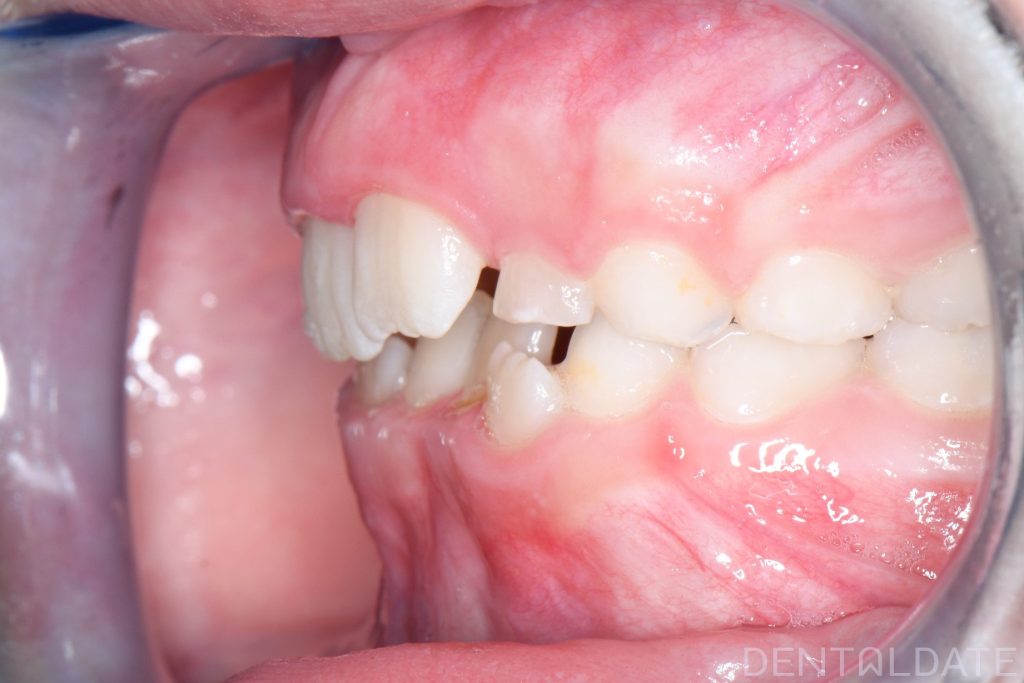
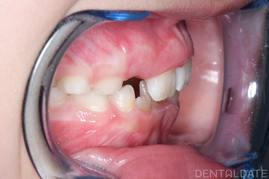
Parents sought an orthodontic consultation due to concerns about the aesthetics of their child’s smile.
Orthodontist-gnathologist
To achieve harmony between function and aesthetics, a Haas appliance was used, followed by a myofunctional appliance.
We continue to monitor the young patient’s growth and development.








