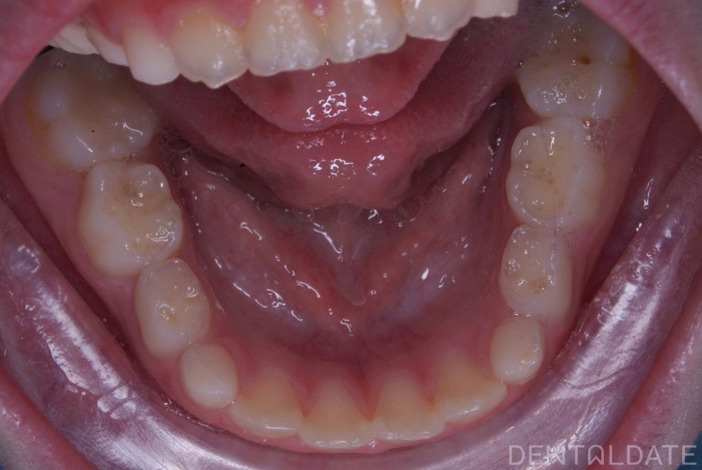
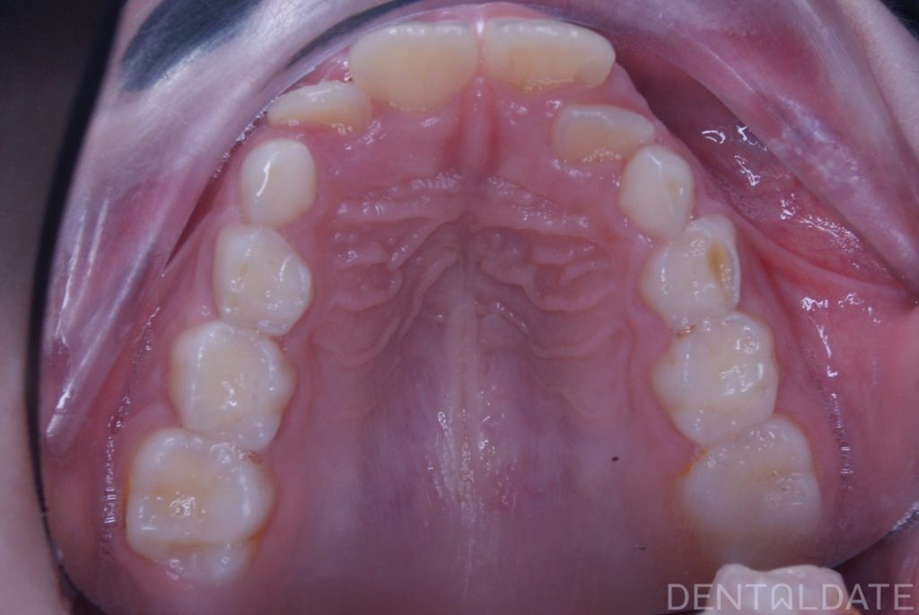
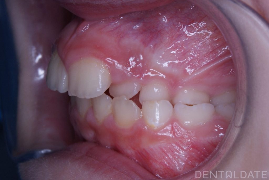
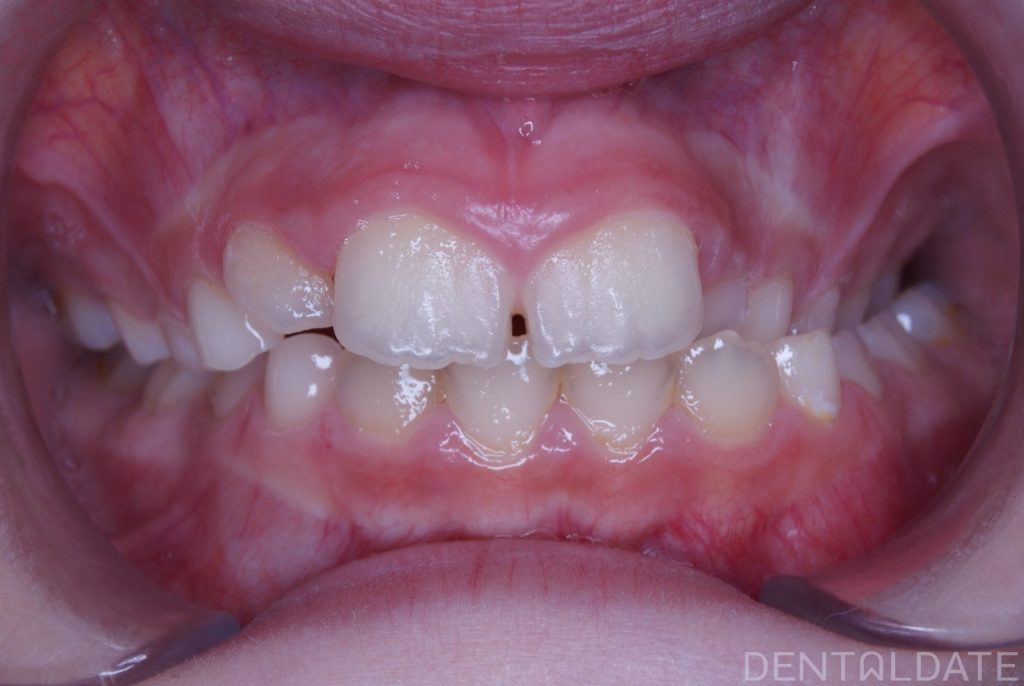
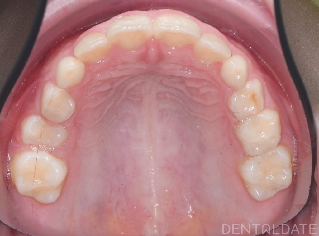
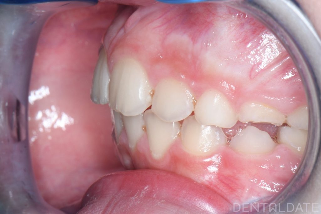
The goal was to prevent the development of severe temporomandibular joint pathology and facial asymmetry through properly planned children orthodontic treatment.
The result was achieved during the first stage using a Haas appliance.
We continue to monitor the patient’s growth and development.







