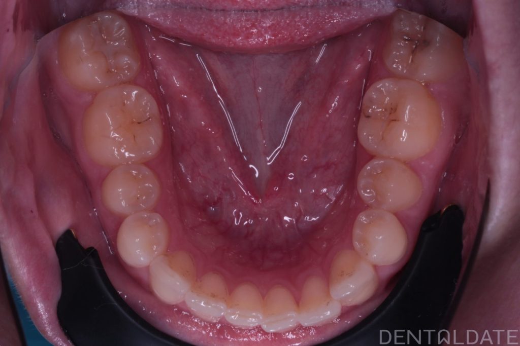
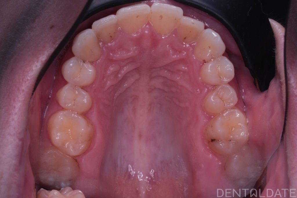
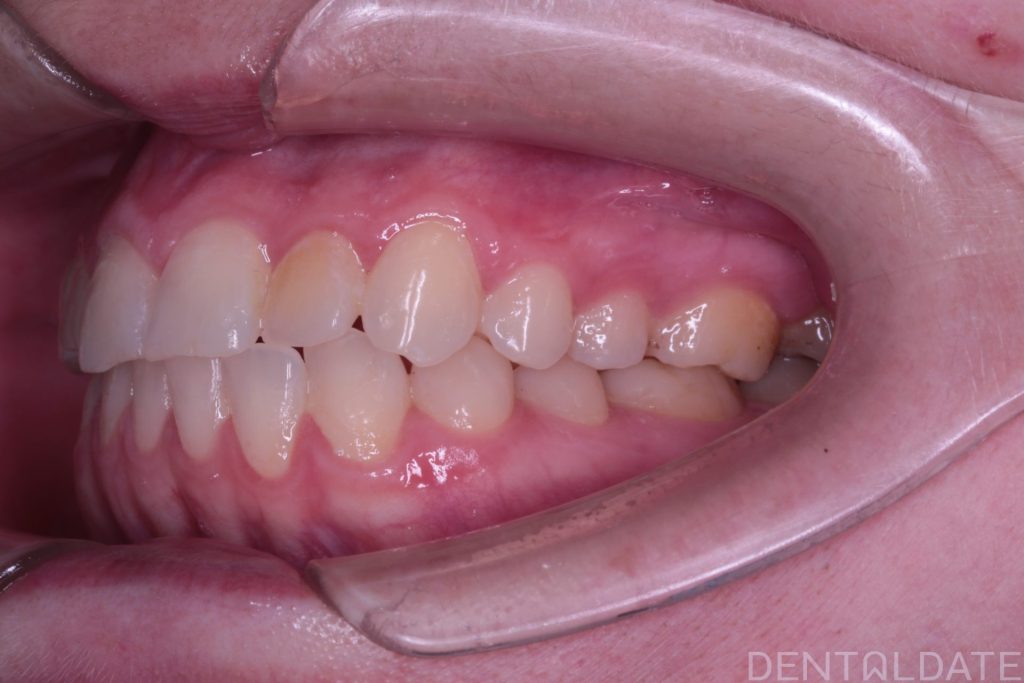
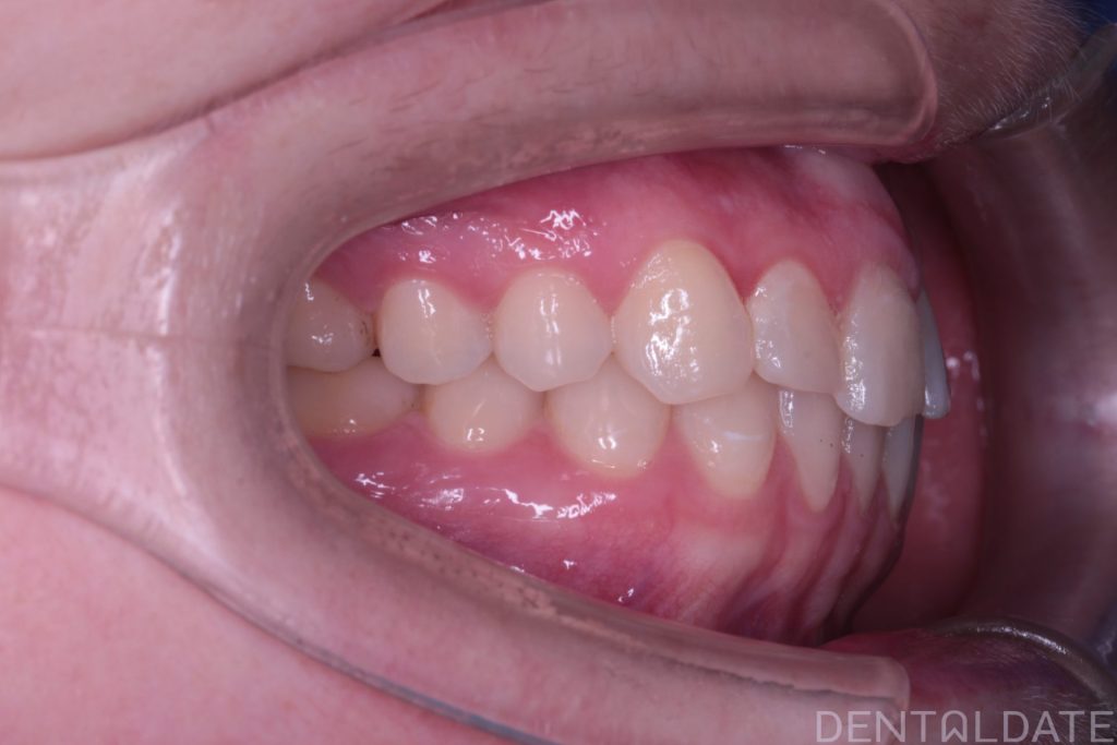
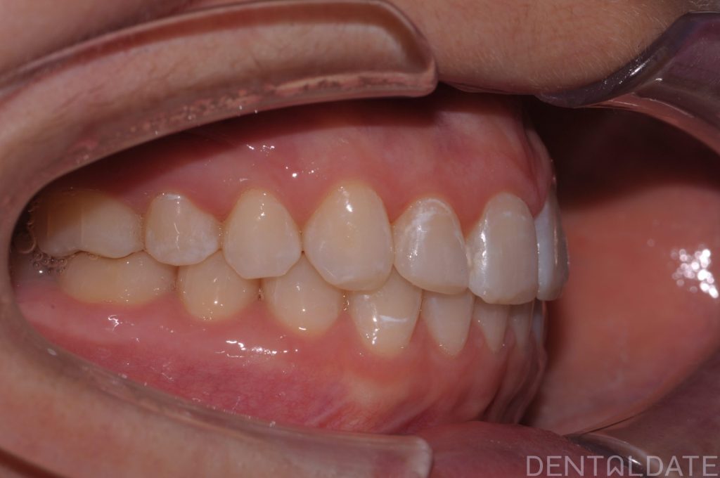
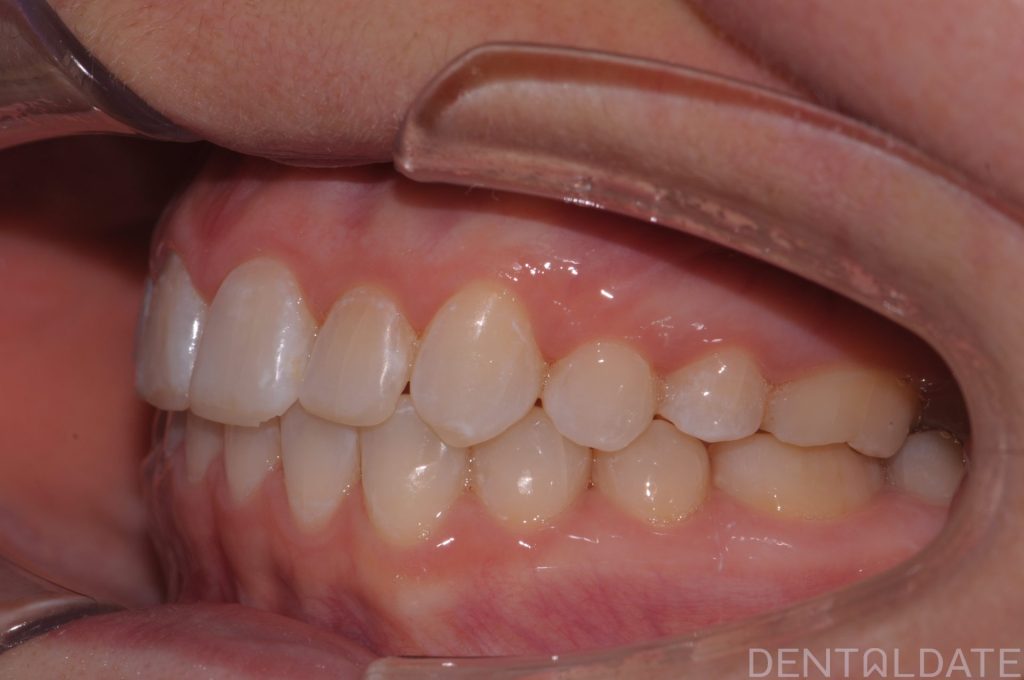
After completing the necessary diagnostics, we installed a new bracket system, aligned the teeth, and created a more harmonious smile.
Retainers were fixed to ensure the long-term stability of the result. he patient is preparing for braces removal.






Case DentalDate
The patient was concerned about relapse following previous orthodontic treatment.
The patient had previously undergone treatment with braces, but retainers to stabilize the teeth were not placed.
Orthodontist-gnathologist
After completing the necessary diagnostics, we installed a new bracket system, aligned the teeth, and created a more harmonious smile.
Retainers were fixed to ensure the long-term stability of the result. he patient is preparing for braces removal.





