We performed diagnostic procedures which lead to braces placement.
Space for the palatally positioned tooth was created with the use of a mini-screw, the shape of the dental arches was normalized, and the position of the teeth was corrected.









Case DentalDate
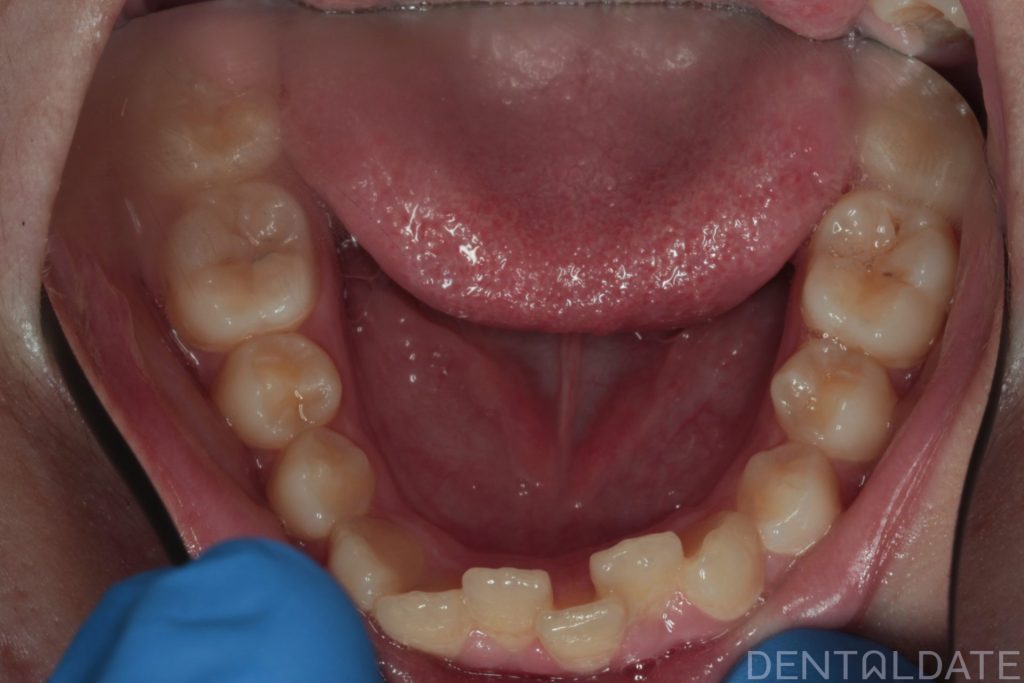
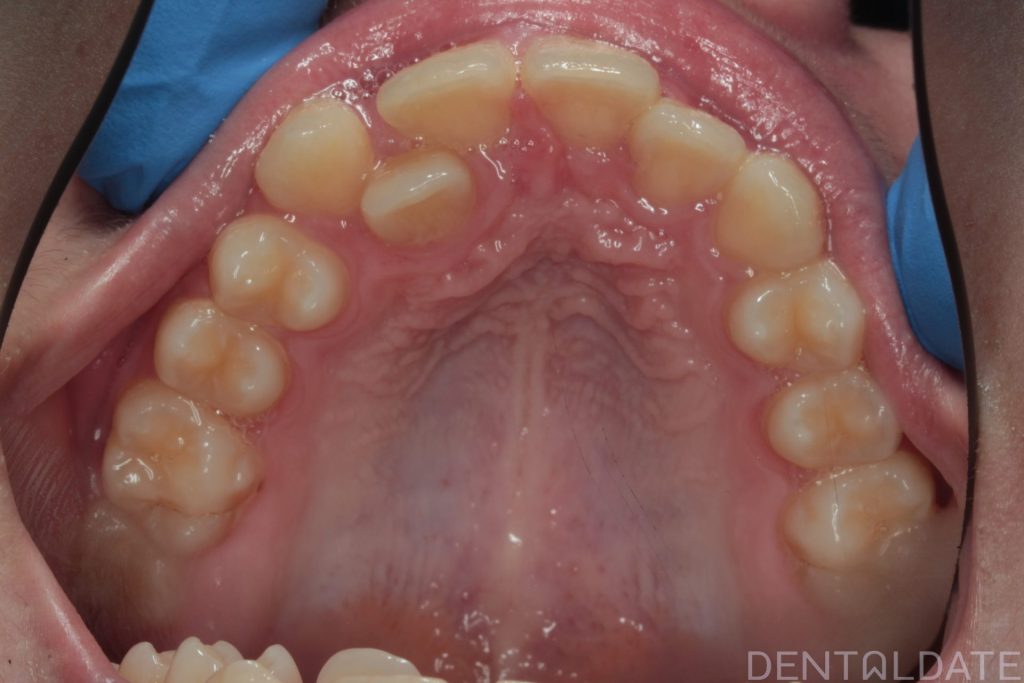
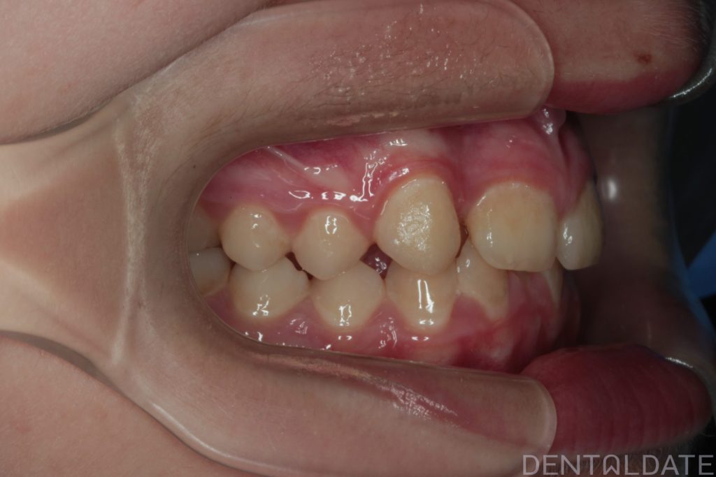
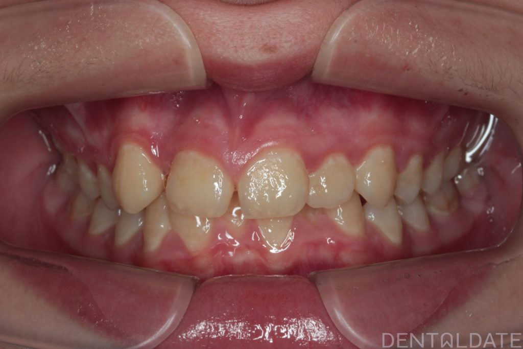
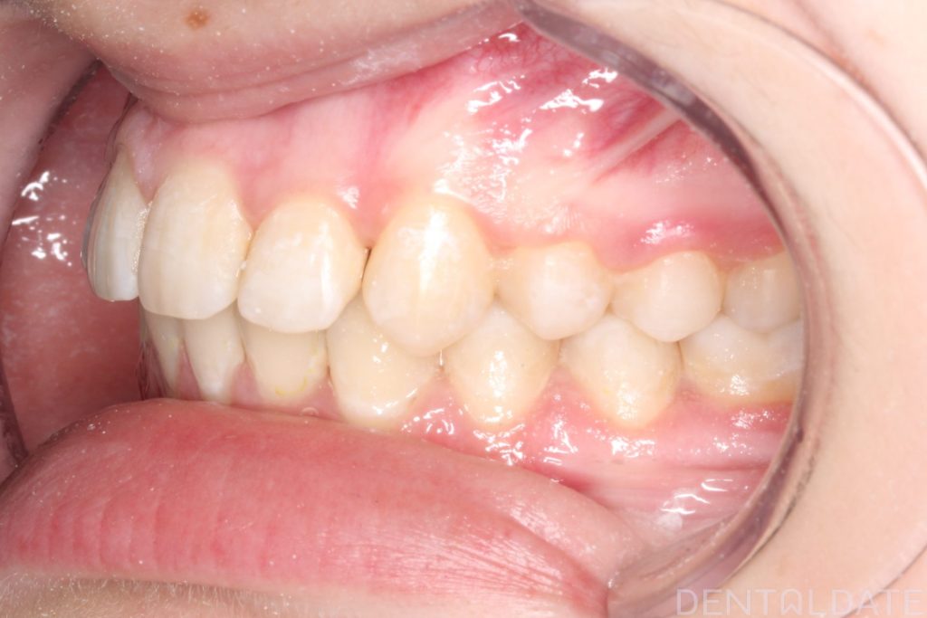
The patient presented with a complaint about an unattractive smile.
One tooth had erupted palatelly, with no space available for it in the dental arch.
The central aesthetic lines did not match, and the bite was incorrect.
Orthodontist-gnathologist
We performed diagnostic procedures which lead to braces placement.
Space for the palatally positioned tooth was created with the use of a mini-screw, the shape of the dental arches was normalized, and the position of the teeth was corrected.








