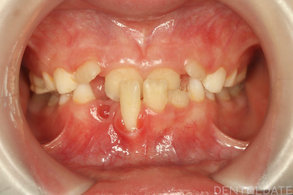
With a new treatment plan in place -the anterior bite was normalized within just one week.
We are now focused on final adjustments to tooth alignment and occlusal height.










Case DentalDate
The patient had been undergoing orthodontic treatment at another clinic for 1.5 years with no significant progress.
Orthodontist-gnathologist
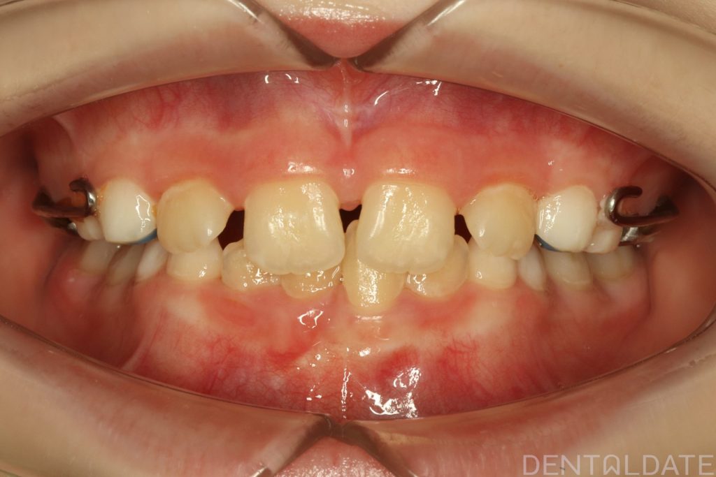
With a new treatment plan in place -the anterior bite was normalized within just one week.
We are now focused on final adjustments to tooth alignment and occlusal height.









