@ Language: en
Google Maps
10 am - 8 pm
UAE, Dubai, City Walk Building 23A

Case DentalDate

Complex treatment of TMJ arthrosis with orthodontic correction

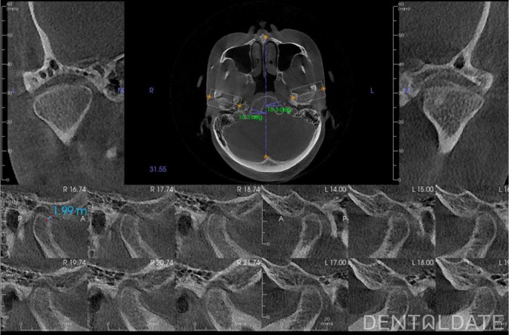
In this clinical case, we want to demonstrate an approach focused on optimizing treatment timelines for temporomandibular joint (TMJ) osteoarthritis. The patient was diagnosed with TMJ osteoarthritis, confirmed by condylography and CT imaging.

Dr. Oleg Mordanov
Dr. Oleg Mordanov

Prosthodontist-gnathologist/ General Dentist

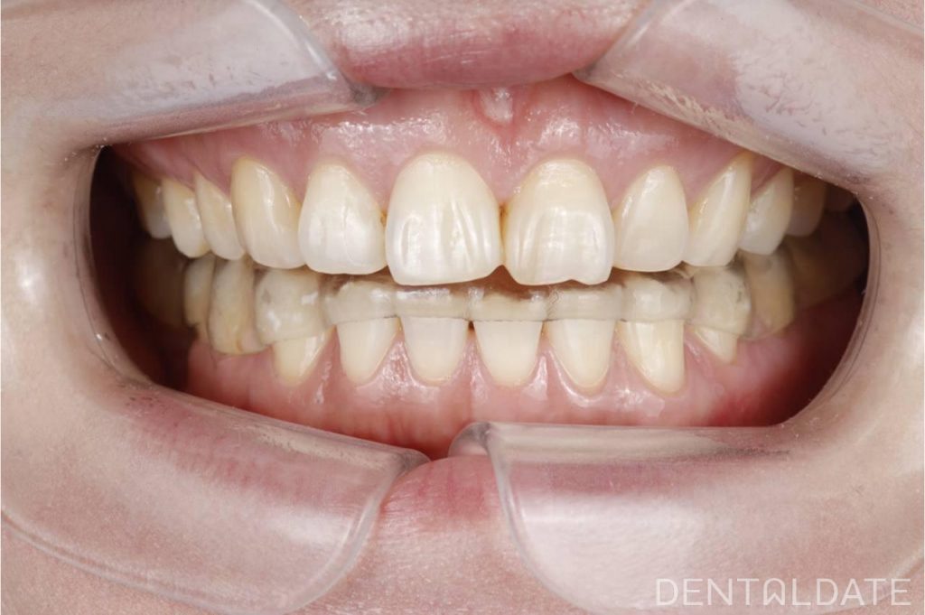
During the splint therapy phase, we observed significant positive changes within just three weeks, including a reduction in symptoms and improved joint function. However, full treatment and joint stabilization require a much longer period.

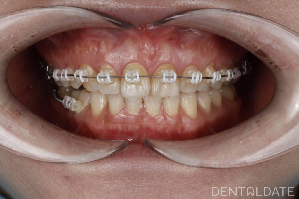
To make the most of the adaptation phase, we simultaneously initiated orthodontic correction of the upper jaw. This approach allows us to significantly shorten the overall treatment time and achieve faster, more effective results.

This clinical case highlights the importance of a comprehensive approach and strategic treatment planning for TMJ disorders, enabling optimized timelines and improved therapy outcomes.