@ Language: en
Google Maps
10 am - 8 pm
UAE, Dubai, City Walk Building 23A

Case DentalDate

Decompression therapy for osteoarthritis of the right TMJ: restoring symmetry of movement

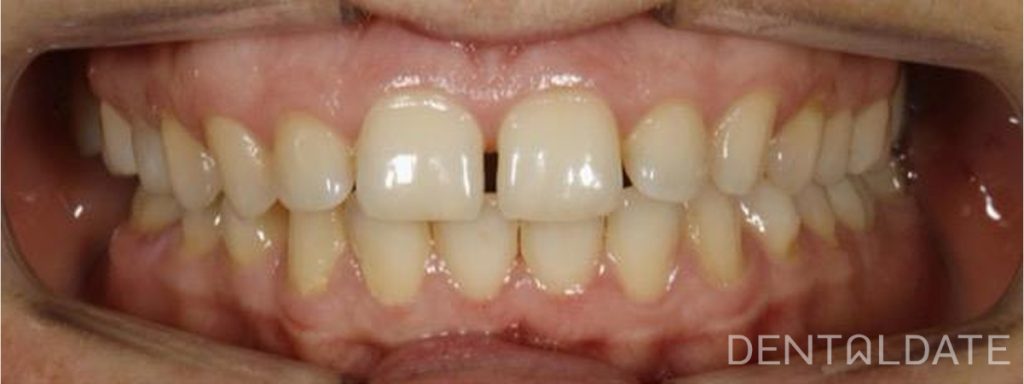
The patient came to our clinic with complaints of uneven mouth opening, significant deviation of the lower jaw to one side, and a characteristic crunching sensation in the right temporomandibular joint (TMJ), described as feeling like sand.

Dr. Oleg Mordanov
Dr. Oleg Mordanov

Prosthodontist-gnathologist/ General Dentist

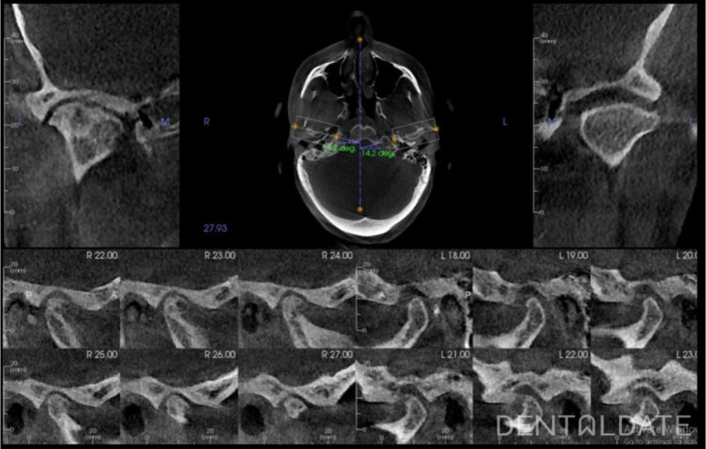
Diagnostic examinations, including MRI and CT scans, confirmed the presence of osteoarthritis in the right TMJ. To further assess the condition of the joint, condylography was performed. Based on the findings, a decision was made to perform decompression of the right TMJ using a custom-made therapeutic splint.

Just three weeks after starting splint therapy, the patient reported significant improvement: mouth opening became even and symmetrical, and the unpleasant crunching sensation completely disappeared.

This case demonstrates the effectiveness and potential of a conservative approach in treating TMJ osteoarthritis, allowing for improved joint function without the need for surgical intervention.