@ Language: en
Google Maps
10 am - 8 pm
UAE, Dubai, City Walk Building 23A

Case DentalDate

Functional restoration of TMJ in muscle strain and posture disorders

We present a clinical case demonstrating how targeted work with the temporomandibular joint (TMJ) can significantly improve a patient’s overall quality of life and well-being.

Dr. Oleg Mordanov
Dr. Oleg Mordanov

Prosthodontist-gnathologist/ General Dentist

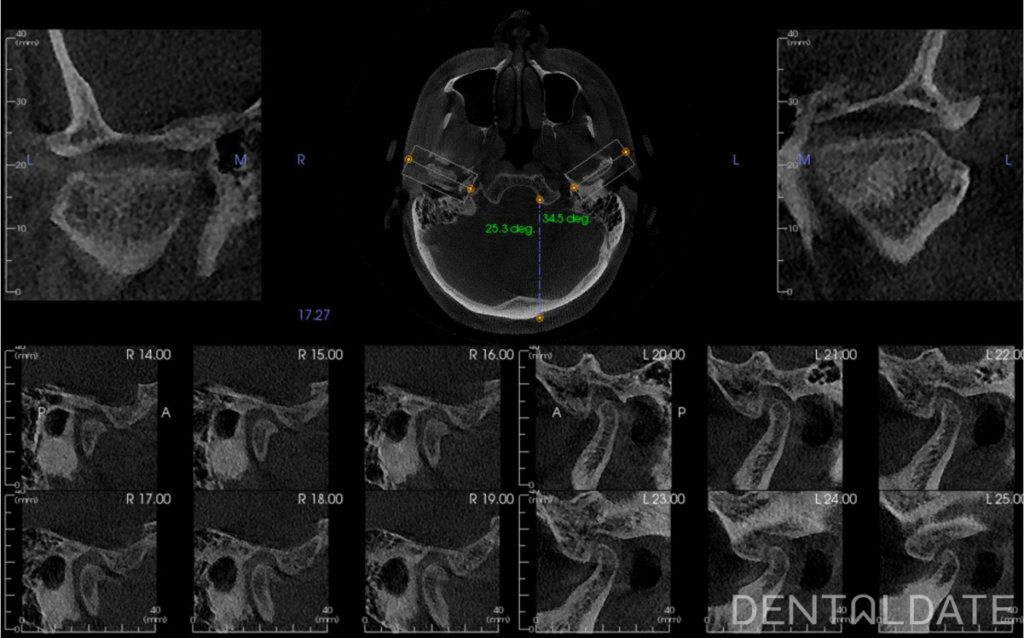
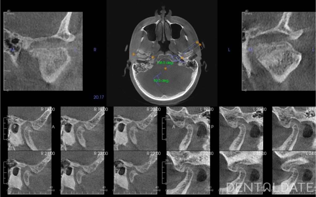
The patient, a programmer, sought treatment with complaints of pain in the shoulders, neck, and occipital region, along with significant discomfort while chewing, primarily on one side. Our diagnostic evaluation revealed uneven, imbalanced dental contacts, leading to muscle tension and postural issues.

To correct the position of the lower jaw, we used a custom-made splint designed based on condylography results. Just five days after starting therapy, the patient reported complete relief from all previous symptoms, including significant posture improvement and reduced muscle tension.

This case highlights the importance of comprehensive diagnostics and conservative treatment in addressing TMJ-related issues, which affect not only dental health but also overall physical well-being.