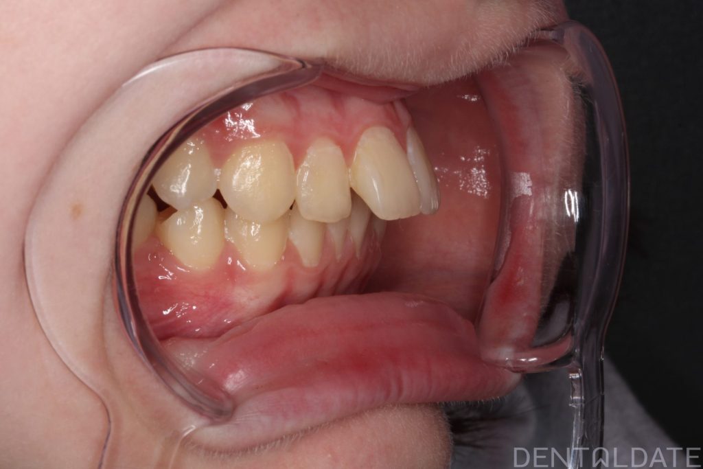
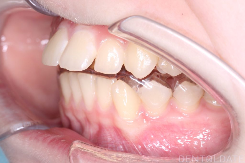
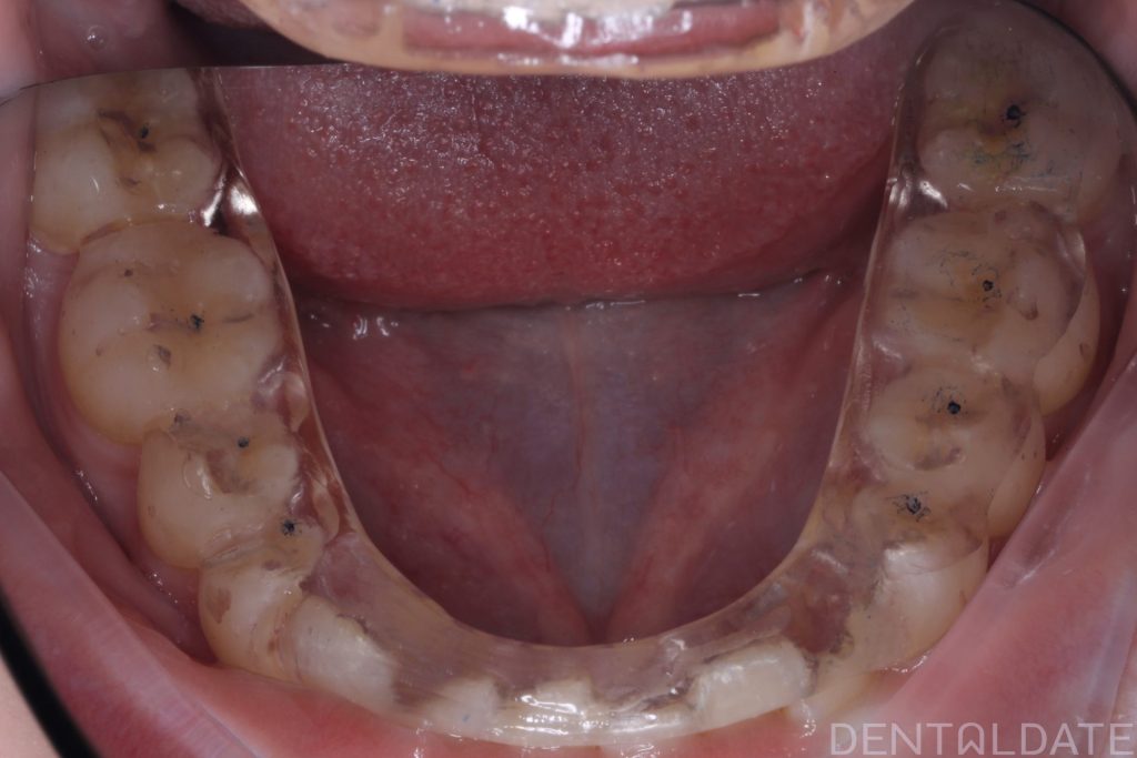
A splint was made in the therapeutic (correct) jaw position, ensuring there was no risk to the joint.
After a follow-up MRI confirmed the correct jaw position, braces were installed.
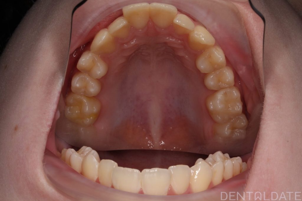
Orthodontic treatment lasted 10 months; currently, the patient is preparing for braces removal.












