@ Language: en
Google Maps
10 am - 8 pm
UAE, Dubai, City Walk Building 23A

Case DentalDate

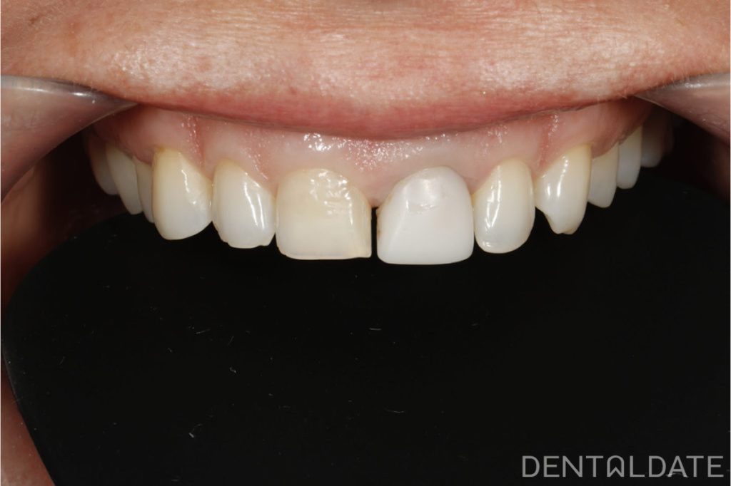
The fieldsphatic veneers with the underlying different tooth shade

How do the dentists choose the shade of veneers? This challenging task will be described in this clinical case. As well, we will demonstrate the try-in of the veneers.

Dr. Oleg Mordanov
Dr. Oleg Mordanov

Prosthodontist-gnathologist/ General Dentist

The patient came to the clinic with the complain of different tooth shade and different margins of her natural teeth. Right central incisor is darker than other teeth, while left central incisor is brighter.

The treatment stages were the following: wax-up and teeth preparation. Due to thin veneers the natural tooth adds the colour to the core of veneers.

At the moment of veneer installation, we provide try-in with the different try-in paste to define the tight shade of the cement. Patient can access not only the shape of veneer, but colour as well.

When both are agreed by the patient and the doctor, the next step includes the cementation of the veneers with the chosen shade of the cement.

In the presented case report the veneers were installed with four different cement shades to reach the plane colour of 6 anterior veneers.