@ Language: en
Google Maps
10 am - 8 pm
UAE, Dubai, City Walk Building 23A

Case DentalDate

When shoulder pain starts with the jaw joint

The patient came to our clinic complaining of severe shoulder pain that made it impossible for her to lift her arm. At first glance, this issue may seem unrelated to dentistry. However, in cases of prolonged temporomandibular joint (TMJ) dysfunction, pain can radiate to the shoulder blade area and mimic musculoskeletal conditions.

Dr. Oleg Mordanov
Dr. Oleg Mordanov

Prosthodontist-gnathologist/ General Dentist

Prior to visiting our clinic, the patient had undergone five years of orthodontic treatment abroad. Although her teeth appeared straight, the bite height was misaligned, which can lead to muscle overload and joint dysfunction.

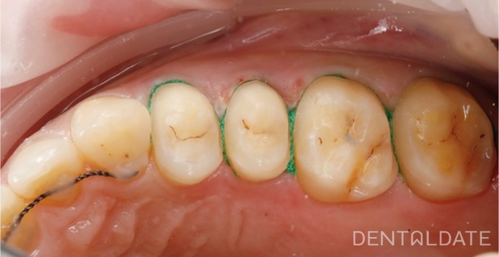
We started the treatment by fabricating a custom myo-splint to relax the masticatory muscles. Then, we performed condylography to assess and determine the physiologically correct position of the lower jaw.

Based on these results, we created a composite protocol — a temporary prototype of the future ceramic restorations.

After confirming the shape and occlusal height, we placed thin-walled ceramic restorations on the posterior teeth.

As a result:

This case clearly demonstrates how a comprehensive dental approach can eliminate not only local dental issues but also seemingly unrelated systemic symptoms.